Отзывы пациентов
Расчёт стоимости лечения
           
Отправление
               
Заявка отправлена
          

Нажимая на кнопку «Отправить», вы даете согласие на обработку персональных данных и соглашаетесь с политикой конфиденциальности.

Комплексная гигиена полости рта

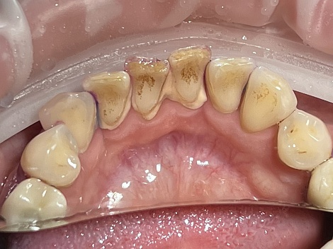
До
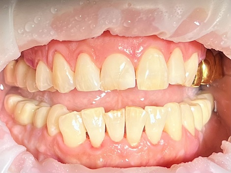
После
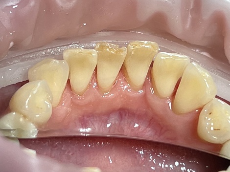
До
После
До
После
Пациент жаловался на кровоточивость десен при ежедневной чистке зубов щеткой с пастой.
После осмотра и диагностики был поставлен диагноз — хронический генерализованный пародонтит.
В рамках лечения провели комплексную гигиену полости рта, включая профессиональную чистку и удаление налёта.

Заболевания: Пародонтит