Отзывы пациентов
Сормовский
Московский
Канавский
Автозаводской
Приорский
Советский
Расчёт стоимости лечения
           
Отправление
               
Заявка отправлена
          

Нажимая на кнопку «Отправить», вы даете согласие на обработку персональных данных и соглашаетесь с политикой конфиденциальности.
Специалист временно не ведет прием.

Илья Сергеевич

врач стоматолог-ортопед

2007 - 2012 гг. - Окончил НиЖГМА (диплом врача стоматолога).

2012 - 2014 гг. - Ординатура кафедры ортопедической стоматологии и ортодонтии НиЖГМА (сертификат и диплом специалиста).

Прошел обучение:

  • Протезирование с использованием имплантатов IMPRO, Implantium, Biogorizont, U-Impl;
  • Протезирование в сложных клинических ситуациях.

Владеет следующими навыками:

  • протезирование всеми видами ортопедических конструкций - несъемное протезирование, микропротезирование, виниры, накладки, безметалловая керамика, протезирование с опорой на имплантаты, съемное протезирование, протезирование при заболевании ВНЧС;
  • эстетическая стоматология.

2012 - 2015 гг. - Работал в ведущих клиниках Нижнего Новгорода. С 2015 года работает в клинике «Все свои».

Чтобы записаться на прием, звоните по телефону
+7 831228-07-83

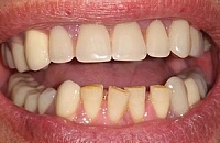
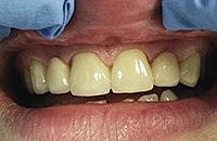
Работы врача

Отзывы пациентов

Работал аккуратно. Достаточно вежлив и учтив. Теперь могу улыбаться как нормальный человек!

24 ноября 2016

Задать вопрос
Оставить отзыв
           
Отправление
               
Ваш вопрос отправлен
          

Задать вопрос

Ваше имя
Возраст
Вопрос

Телефон

WhatsApp номер

Viber номер
Укажите предпочитаемый способ связи Электронная почта, Обратный звонок, WhatsApp, Viber
Нажимая на кнопку «Отправить», вы даете согласие на обработку персональных данных и соглашаетесь с политикой конфиденциальности.
           
Отправление
               
Ваш отзыв отправлен
          

Оставить отзыв

Ваше имя
Возраст
Почта
Отзыв

Нажимая на кнопку «Отправить», вы даете согласие на обработку персональных данных и соглашаетесь с политикой конфиденциальности.