Отзывы пациентов
Расчёт стоимости лечения
           
Отправление
               
Заявка отправлена
          

Нажимая на кнопку «Отправить», вы даете согласие на обработку персональных данных и соглашаетесь с политикой конфиденциальности.
Специалист временно не ведет прием.

Тейран Динисламович

гигиенист стоматологический

2011 г. - Окончил Астраханский базовый медицинский колледж по специальности «Стоматология».

2020 г. - Повышение квалификации в Гуманитарно-техническом институте по специальности «Стоматологическая помощь населению».

Имеет сертификаты по отбеливанию «ZOOM» и «Beyond».

«Улыбка – недорогой способ выглядеть лучше».

Чтобы записаться на прием, звоните по телефону
+7 495788-58-08

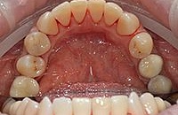
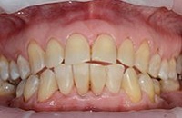
Работы врача

Отзывы пациентов

в конце февраля врач Тейран Динисламович провел мне комплексную чистку и полировку эйр флоу. Все сделал очень аккуратно, без болезненных ощущений, разговаривал со мной очень доброжелательно. Очень рада, что попала на процедуру именно к нему. Спасибо!

20 марта 2022

Читать другие отзывы
Первый раз сделал чистку зубов с использованием современных технологий. Приятно удивлён качеством работы и отношением персонала к клиенту. Спасибо доктору- Тейрану Динисламовичу за комфортную и качественно проделанную работу!!!

21 июля 2021

Поэтапно двигаюсь к имплантации и вот наступило время привести оставшиеся зубы в порядок. Сегодня доктор сделал мне комплексную чистку полости рта. Делала раньше в разных клиниках)эту процедуру : и инструментом снимали камни и ультразвуком и, не поверите, всегда ощущала дискомфорт, но сегодня была приятно удивлена.Закрыла глаза, чтоб порошок не летел  и просто отдохнула в кресле). Спасибо доктору- Тейрану Динисламовичу за комфортную и качественно проделанную работу!!!

03 мая 2018

Добрый день!
          В клинике «Все Свои» делала комплексную процедуру профессиональной гигиены полости рта (ультразвук + чистка зубов Air Flow + полировка).
          Процедуру проводил ПРОФЕССИОНАЛ и ЧЕЛОВЕК  Доктор Тейран Динисламович!
Все прошло настолько комфортно, что улыбка с лица не сходила даже во время процедуры)).
Не только профессиональное, но и очень бережное отношение просто нельзя не отметить! РЕКОМЕНДУЮ!!! Не пожалеете!!! Человек/доктор-профессионал  - это Ваша красивая улыбка!  Спасибо огромное! С радостью буду продолжать лечение!
Р.S.: Это не отзыв, а крик души!

17 ноября 2016

Добрый день!посещаю стоматологов крайне редко,но недавно решила отбелить себе зубы,а перед этим сделать профессиональную чистку.я обратилась в клинику "Все Свои" и попала на процедуру к замечательному доктору Тейрану Динисламовичу!До этого читая отзывы о процедуре вообщем,я сделала вывод,что должно быть,наверное,очень больно.так вот,абсолютно не больно!!!очень комфортно прошла процедура!!!доктор просто профессионал своего дела!!!лучше специалиста и представить не могу.очень бережный подход!!!всем советую!!!не пожалеете!!!спасибо еще раз!!!

12 ноября 2014

Добрый день!очень редко посещаю стоматолога,за отсутствием проблем.И раньше никогда не сталкивалась с профессиональной чисткой и отбеливанием.Решила попробовать,начиталась отзывов других людей,что это больно.пришла на процедуру в клинику "Все Свои" и попала к отличному доктору Тейрану Денисламовичу!абсолютно не больно,очень комфортно прошла процедуру,доктор сделал все очень быстро и качественно!очень благодарна ему!таких специалистов очень мало,Тейран Денисламович сделал процедуру очень бережно,что теперь жду когда попаду на повторную процедуру!я очень довольна!всем советую!Прошу поощрить доктора,как профессионала в своей области!Спасибо еще раз!!!

10 ноября 2014

После прохождения планового осмотра стоматолога в клиники направили на ежегодную профессиональную чистку полости рта с дополнительным отбеливанием.Хочу поблагодарить врача к которому попала Тейрана Гусейнова за его профессионализм и человеческое отношение к своим пациентам!Довольна очень!буду посещать как можно чаще вашу клинику!

28 мая 2014

После консультации в клиники "Все свои" на м.Беляево, порекомендовали проф.гигиену полости рта, пришла по записи и попала к Тейрану.Хочу поблагодарить за приятное впечатление о лечение своих зубов,всем осталось очень довольна, результат на зубах, все зубные камни удаленны, зубки отбеленны....:))))Спасибо огромное.....

16 мая 2014

Меня зовут Алексей, мне 43 года.  По рекомендации знакомых, пошел в клинику Все Свои на беляево..( им очень понравилось лечение). Меня посмотрели проконсультировали, составили план лечения- все четко , ясно и понятно. Первой процедурой была гигиена, снятие камней и еще мне предложили отбеливание. Я охотно согласился! Собственно первая процедура составляет мнение..., и мне повезло. Я попал к доктору Тейрану Динисламовичу, он настолько профессионально и качественно провел процедуру, что я был в полном восторге! И отбеливание прошло великолепно: результат ошеломляющий. С такой улыбкой, мне кажется, я помолодел лет на 10!. Хочу поблагодарить доктора Тейрана Динисламовича, за его профессионализм и человеческое отношение! Побольше бы таких докторов и просто хороших людей!  Спасибо огромное! Доволен очень. С радостью буду продолжать лечение!

09 апреля 2014

Меня зовут Татьяна, и я с детства боюсь зубных  врачей. Я не чуть не сомневаюсь, что в клинике "Все свои" работают профессионалы своего дела, т.к. отзывов хороших слышала много. Вот и сама теперь хочу выразить свою признательность и благодарность одному из самых лучших, на мой взгляд, докторов. Недавно, я, пересилив свой страх, все же решилась заняться здоровьем своих зубов. На прием меня назначили к Гусейнову Тейрану Динисламовичу. С первых минут общения с этим человеком, я поняла, что попала в надежные руки. Положительная энергетика этого замечательного человека,  и профессионализм  талантливого доктора, который начинаешь чувствовать, лишь переступив порог кабинета, меня сразу успокоили, и я с легкостью доверила ему свое лечение. Процедура была проведена на высшем уровне, я осталась не просто довольна, но и приятно удивлена. Подход к делу, с которым берётся за работу Тейран Динисламович, это не просто подход грамотного специалиста, но человека, любящего свое дело и свою работу. Гигиена, на которую я пришла к Тейрану Динисламовичу, стала первым шагом к лечению моих зубов, т.к. теперь, я без страха и всякого сомнения, готова продолжить посещения, и полностью доверяю лечение своей полости рта докторам клиники. И если раньше, зубной кабинет у меня ассоциировался с камерой пыток, то теперь, я уверенно записываюсь, и с улыбкой иду на прием. Спасибо. С уважением Татьяна

29 марта 2014

Меня зовут Татьяна, и я с детства боюсь зубных  врачей. Я не чуть не сомневаюсь, что в клинике "Все свои" работают профессионалы своего дела, т.к. отзывов хороших слышала много. Вот и сама теперь хочу выразить свою признательность и благодарность одному из самых лучших, на мой взгляд, докторов. Недавно, я, пересилив свой страх, все же решилась заняться здоровьем своих зубов. На прием меня назначили к Гусейнову Тейрану Динисламовичу. С первых минут общения с этим человеком, я поняла, что попала в надежные руки. Положительная энергетика этого замечательного человека,  и профессионализм  талантливого доктора, который начинаешь чувствовать, лишь переступив порог кабинета, меня сразу успокоили, и я с легкостью доверила ему свое лечение. Процедура была проведена на высшем уровне, я осталась не просто довольна, но и приятно удивлена. Подход к делу, с которым берётся за работу Тейран Динисламович, это не просто подход грамотного специалиста, но человека, любящего свое дело и свою работу. Гигиена, на которую я пришла к Тейрану Динисламовичу, стала первым шагом к лечению моих зубов, т.к. теперь, я без страха и всякого сомнения, готова продолжить посещения, и полностью доверяю лечение своей полости рта докторам клиники. И если раньше, зубной кабинет у меня ассоциировался с камерой пыток, то теперь, я уверенно записываюсь, и с улыбкой иду на прием. Спасибо. С уважением Татьяна

29 марта 2014

Была недавно на чисточке у этого специалиста,очень аккуратно работает и бережно относится к зубкам и деснам!результат превосходный

21 декабря 2013

Задать вопрос
Оставить отзыв
           
Отправление
               
Ваш вопрос отправлен
          

Задать вопрос

Ваше имя
Возраст
Вопрос

Телефон

WhatsApp номер

Viber номер
Укажите предпочитаемый способ связи Электронная почта, Обратный звонок, WhatsApp, Viber
Нажимая на кнопку «Отправить», вы даете согласие на обработку персональных данных и соглашаетесь с политикой конфиденциальности.
           
Отправление
               
Ваш отзыв отправлен
          

Оставить отзыв

Ваше имя
Возраст
Почта
Отзыв

Нажимая на кнопку «Отправить», вы даете согласие на обработку персональных данных и соглашаетесь с политикой конфиденциальности.