Отзывы пациентов
Расчёт стоимости лечения
           
Отправление
               
Заявка отправлена
          

Нажимая на кнопку «Отправить», вы даете согласие на обработку персональных данных и соглашаетесь с политикой конфиденциальности.
Специалист временно не ведет прием.

Сергей Иванович

врач стоматолог-ортопед

2009 г. - Окончил Первый Московский государственный медицинский университет им.И.М.Сеченова по специальности «Стоматология».

2011 г. - Ординатура в академии постдипломного образования Федерального медико-биологического агентстсва России по специальности «Стоматология ортопедическая».

2020 г. - Повышение квалификации в Российском университете дружбы народов по специальностям «Стоматология ортопедическая» и «Стоматология хирургическая».

Дополнительное образование:

2013 г. - Noris Medical immediate loading in practice. Izrail.

Чтобы записаться на прием, звоните по телефону
+7 495788-58-08

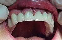
Работы врача

Отзывы пациентов

Выражаю благодарность врачам клиники «Все свои» хирургу Нерсесову Н. В., Беленко С. И., за хорошую, квалифицированную работу, внимательный подход к пациентам. Большое спасибо за внимание Главному врачу клиники Азизову М. А. за внимательное отношение к пациентам. Благодарность за внимание менеджеров.

15 октября 2014

Вопросы пользователей

вера, 51 год:
Добрый день! Сергей Иванович,как в вашей клинике проводят тест на совместимость материалов при протезировании?
Ответ:
Добрый день, Вера! К сожалению, такие тесты мы не делаем.
Читать другие вопросы
Людимила, 55 лет:
Добрый день! Сергей Иванович, как срочно можно вставить 1 зуб металлокерамика (передний) и сколько это будет стоить? Вы на ул.Нижегородской, 28 случайно не работали?
Ответ:
Стоимость работ рассчитывается в клинике после консультации специалиста. Консультация бесплатная, можно записаться по телефону нашей горячей линии в любую удобную для вас клинику. Изготовление металлокерамической коронки до 14 дней. Все это время эстетику сохраняет временная коронка. Остальные рекомендации по вашему конкретному случаю после осмотра в кресле.
Задать вопрос
Оставить отзыв
           
Отправление
               
Ваш вопрос отправлен
          

Задать вопрос

Ваше имя
Возраст
Вопрос

Телефон

WhatsApp номер

Viber номер
Укажите предпочитаемый способ связи Электронная почта, Обратный звонок, WhatsApp, Viber
Нажимая на кнопку «Отправить», вы даете согласие на обработку персональных данных и соглашаетесь с политикой конфиденциальности.
           
Отправление
               
Ваш отзыв отправлен
          

Оставить отзыв

Ваше имя
Возраст
Почта
Отзыв

Нажимая на кнопку «Отправить», вы даете согласие на обработку персональных данных и соглашаетесь с политикой конфиденциальности.