Расчёт стоимости лечения
Сафонова Ольга Александровна
эксперт по ортодонтии, врач стоматолог-гнатолог, врач стоматолог-ортодонт
2014 г. - Окончила Первый Московский государственный медицинский университет им. И.М. Cеченова по специальности «Стоматология».
2017 г. - Ординатура в Институте повышения квалификации Федерального медико-биологического агентства по специальности «Ортодонтия».
2022 г. - Повышение квалификации в Российской медицинской академии непрерывного профессионального образования по специальности «Ортодонтия».
Дополнительное образование:
2015 год:
- «Применение программного обеспечения iCAT-Vision для конусно-лучевой компьютерной томографии в стоматологии»;
- «Восстановление анатомической формы передней и боковой группы зубов в эстетической стоматологии», А.В. Ветчинкин;
- XI International Congress of VDW Endodontic Synergy GMBH «Innovative Techniques in Endodontic Treatment»;
- «Повышение качества лечения заболеваний пародонта с использованием современных технологий», Swiss Dental Academy;
- «Beyond Power whitening», Герасимова Э.В.;
- «Принципы профилактики периимплантита с использованием современных технологий», Swiss Dental Academy;
- Curadentswiss iTOP – Curaprox;
- «Непрямые адгезивные реставрации жевательных зубов. Эстетика и функция», Нечипорок А.В.;
- «Оптимизация инструментальной обработки корневых каналов», Шорина Т.В.;
- XII INTERNATIONAL CONGRESS OF VDW ENDODONTIC SYNERGY GMBH;
- «Innovative Techniques in Endodontic Treatment»;
- «ICON-infiltration concept»;
- Конгресс стоматологов «Новые горизонты 2016».
2016 год:
- «Пассивное самолигирование – путь к успеху в вашей практике», Жан-Рене Ван Беселер;
- «Практикум по детализирующим и компенсаторным изгибам на дугах», Зернов К.А.;
- «Артикуляционная система в ежедневной практике врача-ортопеда и зубного техника. Решение проблем окклюзии», Максим Головин;
- VI Конференция начинающих ортодонтов;
- Курс по аппарату TWICARE;
- «Дни ортодонтии», группы компаний «Пумпа».
2017 год:
- «Актуальные вопросы применения КЛКТ в терапевтической, хирургической и ортодонтической стоматологии»;
- «Исправление открытого прикуса у подростков и взрослых пациентов. Стратегии лечения аномалий окклюзии II класса без удаления зубов», Равиндра Нанда;
- «Сравнительный анализ принципов биомеханики при использовании традиционной аппаратуры и пассивного самолигирования», Попов С.А.;
- II Съезд ортодонтов Московской области;
- Курс «Starsmile», Геворкян Т.;
- «Выбор торка, компенсации, особенности брекетов 3MX, ошибки лечения и пути исправления».
2018 год:
- «Flexiligner»;
- «Функциональная анатомия и физиология ВНЧС и жевательного аппарата в норме и при патологии. Клиническое обследование ВНЧС и челюстно-лицевой области», Дьячкова Я.Ю.
- «Малоинвазивная эстетическая реабилитация зубов», Василиадис Р.;
- «Работа с вестибулярными металлическими и эстетическими брекет-системами нового поколения систем пассивного самолигирования H4», Ермаков А.;
- «Неотложные состояния в практике стоматолога», Бичун А.;
- Научно-практическая конференция III съезд ортодонтов Московской области «Достижения и инновации в ортодонтии и детской стоматологии»;
- «Топ-5», Ortholight;
- «Ретенированные клыки. Провокаторы ретенции», Хорольская Л.,
- «Цели и задачи ортодонтического лечения. Достижение оптимального профиля лица», Марахтанов;
- «Эволюшн: 8 ключей ортодонтии», Ермаков А.;
- «Лечение ассиметрии у детей».
2019 год:
- «Вертикальный подход к планированию и коррекции сагиттальных изменений», Ермаков Алексей;
- «Техника направленных сил (философия Твида-Меррифильда)», Школа ортодонтии Smart Orthodontics;
- «Лечение и профилактика дисфункции ВНЧС», Дьячкова Я.Ю.
2020 год:
- Сертификационный курс Invisalign;
- «Клуб практикующих ортодонтов Топ»;
- «Все о высокодейственной системе минивинтов Bio-Ray», Вольвач Юлия;
- Конгресс по ортодонтии Oхис.
2023 год:
- «Основы клинической гнатологии»;
- «Правила работы с артикулятором»;
- «Лечение сагиттальных аномалий у детей и подростков. Сага о пластинках и не только», Бородина Е.Г.
Профессиональные навыки:
- диагностика: клинический осмотр, сбор анамнеза, анализ гипсовых моделей, анализ фотографий, цефалометрический анализ, гипсовка в артикуляторе, анализ КТ-исследования;
- лечение зубочелюстных аномалий при помощи несъемной техники: брекет-системы (техника прямой дуги), раннее ортодонтическое лечение «2-4», аппараты Наas, pendulum, небный бюгель, аппарат для небного расширения и дистализации зубов на ортоимплантантах;
- лечение съемной ортодонтической техникой (одночелюстные пластиночные аппараты, LM-активаторы);
- применение в работе систем ортоимплантантов: Ortho Easy, VectorTas,Bio-Ray;
- проведение совместного лечения с челюстно-лицевыми хирургами и врачами-ортопедами;
- печение зубов на элайнерах: FlexiLigner, Starsmile, Инвизилайн.
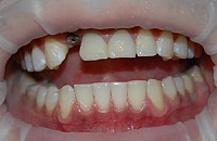
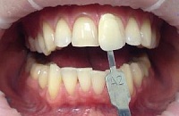
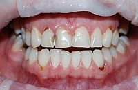
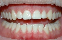
Работы врача
Отзывы пациентов
Ксения, 23 года:
Проходила лечение на брекет-системе у Сафоновой Ольги Александровны.
Ольга Александровна очень внимательный, адекватный и хороший специалист. Каждый приём всё было чётко, минимум чувства дискомфорта.
По итогу ровные зубы, правильные прикус и счастье, спасибо врачу!
Ольга Александровна очень внимательный, адекватный и хороший специалист. Каждый приём всё было чётко, минимум чувства дискомфорта.
По итогу ровные зубы, правильные прикус и счастье, спасибо врачу!
11 марта 2025
Вопросы пользователей
Гюзель М, 40 лет:
Добрый день, в какой клинике работаете, метро?
Ответ:
Алина, 39 лет:
Подскажите, пжл, когда возможно записаться на прием к Ольге Александровне?
Ответ:
Павел, 37 лет:
Ольга Александровна, добрый вечер! Поделитесь пожалуйста с читателями своим профессиональным мнением об отбеливающих полосках RIGEL, которые в последнее время пользуются популярностью (особенно у селебрити). Плюсы очевидны - простота и доступность в использовании, запатентованная формула без перекиси и карбамидов, что теоретически позволяет их использовать без вреда даже на чувствительные зубы (мой случай). Отрицательных отзывов о них не слышал - за исключением каких-то завышенных ожиданий у людей, которые хотели получить идеально белый оттенок. Меня бы устроил результат осветления на пару тонов. Вполне. Поделитесь - насколько они безопасны (отбеливание происходит за счет высвобождения активного кислорода) и эффективны ли на Ваш взгляд? Спасибо!
Ответ:
Павел, 36 лет:
Ольга Александровна, рекомендуйте, как профессионал, наиболее безопасную и эффективную систему домашнего отбеливания. По шкале Вита у меня примерно A3, имеются множественные оголённые шейки, трещины эмали. Насколько целесообразно в моём случае применять домашнее отбеливание?
Ответ:
Задать вопрос
Оставить отзыв
































