Отзывы пациентов
Расчёт стоимости лечения
           
Отправление
               
Заявка отправлена
          

Нажимая на кнопку «Отправить», вы даете согласие на обработку персональных данных и соглашаетесь с политикой конфиденциальности.
Специалист временно не ведет прием.

Руслан Ниязович

врач стоматолог-ортопед

2012 г. - Сдал экзамен по допуску к осуществлению медицинской деятельности в должности «Гигиенист стоматологический», «Стоматология профилактическая».

2014 г. - Окончил Первый МГМУ И.М. Сеченова.

2014 г. - Начал обучение врачом интерном в Национальном медико-хирургическом центре им. Н.И. Пирогова, «Институт усовершенствования врачей».

2017 г. - Ординатура, специальность «Стоматология ортопедическая».

2018 г. - Профессиональная переподготовка по специальности «Стоматология хирургическая».

Дополнительное образование:

  • 2011 г. - Участие в конкурсе студенческого мастерства ПМГМУ И.М. Сеченова, на кафедре «Терапевтической стоматологии», занял III место.
  • 2012 г. - Участие в студенческой олимпиаде «Точный оттиск», занял 1 место.
  • 2012 г. - Курс «Повышение качества лечения заболевания пародонта с использованием современных технологий»;
  • 2012 г. - Курс «Принципы профилактики периимплантита, с использованием современных технологий»;
  • 2012 г. - Конференция «Клинические аспекты управления болью в стоматологии - от эндодонтии до имплантации»;
  • 2014 г. - Первая в России iTOP конференция, iTOP, «Инновационный подход к чистке зубов, мотивация и контроль личной гигиены полости рта».

Профессиональные навыки:

  • все современные методы проведения профессиональной гигиены полости рта;
  • проводит реминерализирующие терапии;
  • отбеливание твердых тканей зубов: лазерное, холодное отбеливание системой Beyond polus, ZOOM, Opalescence, Beverly Hills.
Чтобы записаться на прием, звоните по телефону
+7 495788-58-08

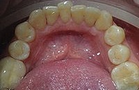
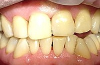
Работы врача

Отзывы пациентов

Хочу поблагодарить Руслана Ниязовича Мутова за профессиональную работу. Протезирование выполнено шикарно, удобно внутренне и красиво внешне. Мне приходилось сталкиваться с различными ортопедами, но такого профессионализма не встречала. Рекомендую всем знакомым своим и всем читателям. Отдельное спасибо ассистентке и всем кураторам. Прекрасная клиника. Еще раз огромное спасибо Руслану Ниязовичу за его работу !

27 декабря 2020

Читать другие отзывы
От души хочу поблагодарить коллектив клиники за прекрасную работу и доброе человеческое отношение. Особая благодарность ортопеду Мутову Руслану Ниязовичу за высокий профессионализм и золотые руки и чуткое отношение к нам людям старшего поколения. Спасибо, спасибо, спасибо.

20 января 2019

Вчера была на профессиональной чистке у Руслана! Очень довольна - быстро, не больно, а главное, что врач с тончайшим чувством юмора! Безумно довольна, приду ещё!

21 марта 2016

И мне тоже очень понравилась работа доктора. Внимательный и ответственный. Работать с ним было очень комфортно и притяно. Спасибо.

17 июля 2015

Это мой самый любимый гигиенист! Все быстро,  аккуратно и безболезненно (что немаловажно) делает! Дай Бог, чтобы всегда были такие врачи!

21 мая 2015

Спасибо большое Руслану за профессионализм и педантичность в работе. Сделал проф чистку, показал все проблемки с зубами, научил, как правильно пользоваться зубной нитью и правильно держать зубную щетку(!)))

27 февраля 2015

Спасибо большое мне очень понравилось...чистая., и современная клиника.грамотный профессиональный врач, все сделал качественно и без болезненно.еще раз спасибо.

12 января 2015

Самый замечательный доктор в мире!

21 декабря 2014

Задать вопрос
Оставить отзыв
           
Отправление
               
Ваш вопрос отправлен
          

Задать вопрос

Ваше имя
Возраст
Вопрос

Телефон

WhatsApp номер

Viber номер
Укажите предпочитаемый способ связи Электронная почта, Обратный звонок, WhatsApp, Viber
Нажимая на кнопку «Отправить», вы даете согласие на обработку персональных данных и соглашаетесь с политикой конфиденциальности.
           
Отправление
               
Ваш отзыв отправлен
          

Оставить отзыв

Ваше имя
Возраст
Почта
Отзыв

Нажимая на кнопку «Отправить», вы даете согласие на обработку персональных данных и соглашаетесь с политикой конфиденциальности.