Отзывы пациентов
Расчёт стоимости лечения
           
Отправление
               
Заявка отправлена
          

Нажимая на кнопку «Отправить», вы даете согласие на обработку персональных данных и соглашаетесь с политикой конфиденциальности.
Специалист временно не ведет прием.

Роман Дмитриевич

врач стоматолог-пародонтолог

2015 г. - Окончил Самарский государственный медицинский университет по специальности «Стоматология».

2016 г. - Интернатура на базе Самарского медицинского института «РЕАВИЗ» по специальности «Стоматология общей практики».

2017 г. - Профессиональная переподготовка на базе Самарского медицинского института «РЕАВИЗ» по специальности «Стоматология хирургическая».

2020 г. - Повышение квалификации на базе Институте инновационных технологий по специальности «Стоматология хирургическая».

Дополнительное образование:

2018 г. - «Достижение эстетического результата при устранении рецессии десны – сравнительный анализ хирургических методов».

2019 год:

  • «Мукогингивальная хирургия вокруг имплантатов»;
  • «Пластика мягких тканей в области зубов и имплантов»;
  • «Резидент в практике врача стоматолога, с возможностью использования препарата Ревидент в своей практике».
Чтобы записаться на прием, звоните по телефону
+7 495788-58-08

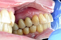
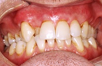
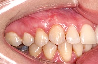
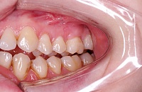
Работы врача

Отзывы пациентов

Выражаю благодарность врачу стоматологу-пародонтологу Рукавишникову Роману Дмитриевичу. Грамотный и внимательный доктор. Понимает пациента с полу-слова, всегда готов помочь в любой ситуации.

24 мая 2021

Читать другие отзывы
Рукавишников Роман Дмитриевич, лучший врач и специалист, уверен вы останетесь очень довольны после посещения данного врача, понимает пациента с пару слов!!!

09 января 2020

Впервые посетила клинику " Все свои" на Алексеевской. Недавно открылась, очень удобно для меня расположена. Здоровыми деснами похвастаться не могу, лечилась в довольно известной клинике, есть с чем сравнивать. Роман Дмитриевич сразу обозначил проблемы, которые надо попытаться устранить и , надо отдать должное, он приложил максимум усилий, чтобы добиться желаемого эффекта, не ограничиваясь каким-то конкретным количеством посещений (чего не могу сказать о предыдущем опыте лечения, где за каждый визит надо было платить отдельно). Назначил проверочный прием через месяц и все в рамках уже произведенной оплаты. Состоянием десен на данный момент удовлетворена и особая благодарность за внимательное, деликатное и, конечно, профессионально проведенное лечение. Здоровья Вам, успехов в работе и с Наступающим Новым годом !

15 декабря 2019

Лечил долго пародонтит раньше,но ничего не помогало,до встречи с доктором Рукавишниковым.Сделали опирацию на десне - и все прежние проблемы ушли.Доктор  подробно рассказал как поддерживать здоровое состояние десны.Я очень рад,что наконец то попал к настоящему профессионалу!

20 июля 2019

Рукавишников Роман Дмитриевич поразил меня удивительным сочетанием молодости, мудрости и заботы. При хирургическом усечении десны для раскрытия корня зуба, - операции, которой я очень боялась, начитавшись ужасов в интернете, - врач настолько грамотно привёл меня в позитивное состояние духа и провёл операцию столь блестяще, что рана затянулась уже на третий день. Профессиональная одаренность врача-парадонтолога подкреплена ещё и задатками прекрасного психолога. Спасибо большое, Роман Дмитриевич!

12 февраля 2019

Врач сделал мне отличную коронку вместо утерянной. Бился с ней,отправлял несколько раз на переделку,пока результат не удовлетворил нас обоих(прежде всего его,как профессионала).Ваял как художник,а не ремесленник. Коронка блеск!Не ожидала,была более чем приятно удивлена,что остались люди,радеющие за свою работу. Спокоен,вежлив,тактичен.Однозначно рекомендую!
Роман Дмитриевич,спасибо!

26 октября 2018

Уже несколько месяцев прохожу лечение у Романа Дмитриевича. Хочу отметить его тактичность, целеустремленность, спокойствие и умение вселить оптимизм пациенту.  Спасибо.

21 сентября 2018

Задать вопрос
Оставить отзыв
           
Отправление
               
Ваш вопрос отправлен
          

Задать вопрос

Ваше имя
Возраст
Вопрос

Телефон

WhatsApp номер

Viber номер
Укажите предпочитаемый способ связи Электронная почта, Обратный звонок, WhatsApp, Viber
Нажимая на кнопку «Отправить», вы даете согласие на обработку персональных данных и соглашаетесь с политикой конфиденциальности.
           
Отправление
               
Ваш отзыв отправлен
          

Оставить отзыв

Ваше имя
Возраст
Почта
Отзыв

Нажимая на кнопку «Отправить», вы даете согласие на обработку персональных данных и соглашаетесь с политикой конфиденциальности.