Расчёт стоимости лечения
Рамазанов Аслан Муталибович
врач стоматолог-ортопед
2003 г. - Окончил Самарский военно-медицинский институт по специальности «Стоматология».
2007 г. - Повышение квалификации в Самарском военно-медицинском институте по специальности «Стоматология ортопедическая».
2017 г. - Повышение квалификации в Национальном медико-хирургическом центре им.Н.И. Пирогова по специальности «Стоматология ортопедическая».
2023 г. - Повышение квалификации в Национальной академии развития информаионных технологий по специальности «Стоматология ортопедическая».
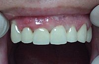
Работы врача
Отзывы пациентов
Ковнат Ольга Петровна, 75 лет:
Я просто любююсь на работу этого классного врача!!! Внимательный и молчилывый врач с хорошими манерами в отношении с пациентами!!! Я не ошиблась с выбором отличного врача ортопеда !!! Счастья Вам Доктор и успехов в вашей работе!!!
12 ноября 2024
Дмитрий Минаев, 53 года:
Большое спасибо доктору Рамазанову за его прекрасную работу на очень высоком уровне! Также я хочу поблагодарить его за его терпение и прекрасное отношение к своим пациентам! Когда приходишь в клинику к таким специалистам ты понимаешь,что здесь Все Свои.Спасибо большое Аслан Муталибович!
13 января 2021
Ирина, 54 года:
Прекрасный специалист! Немногословен, сосредоточен, с золотыми руками.
27 декабря 2019
Марина, 59 лет:
Хочется выразить большую благодарность замечательному доктору. Первый раз я ставила коронку на верхний зуб. Доктор все сделал очень профессионально. Никакого дискомфорта я не ощущала и не ощущаю. А во второй раз я обратилась с более сложным случаем. Мне ставили импланты. Но коронки на нижние зубы были поставлены также профессионально. Я теперь хожу и радуюсь своим новым зубам. Спасибо доктор за вашу работу, такого высокого уровня, за ваши руки и профессионализм.
26 июня 2019
Егения, 36 лет:
Огромное спасибо! Вы врач с золотыми руками!
02 марта 2015
Бухарова Валентина, 61 год:
Благодарю Вас за хорошую работу! Спасибо Вам большое!
05 января 2015
Вопросы пользователей
Александр Месропян, 70 лет:
Аслан Муталибович, у Вас я делал протезы - верхний и нижний. Я приезжал к Вам с отколотым верхним протезом. Вы его сделали. Теперь он у меня треснул, ровно посередине, но не распался. Что делать?
Ответ:
сони, 44 года:
Я бы хотела заменить 4 каронки на керамику на какую сумму мне расчитать
Ответ:
лилия, 43 года:
здравствуйте , вместо передних верхних пяти зубов стоит мост на трех имплантах , мне бы хотелось заменить этот мост наверное на цирконий мост , скажите сколько по времени будет примерной выполняться работа , на сколько срочно можно её выполнить , тк я не москвичка и мне бы хотелось сделать в более сжатые сроки , этот мост на три имеющихся импланта , еще заменить один мост обыкновенный тре зуба , и возможно что бы полностью были одинакового цвета верхние зубы которые видно при улыбке поставить одинъ или два винира . спасибо
Ответ:
Задать вопрос
Оставить отзыв




