Орлова Светлана Александровна
2004 г. - Окончила Смоленский базовый медицинский колледж по специальности «Сестринское дело».
2009 г. - Повышение квалификации в Московском стоматологическом колледже №1 по специальности «Стоматология профилактическая».
2015 г. - Повышение квалификации в Московском стоматологическом колледже №1 по специальности «Стоматология профилактическая».
2020 г. - Повышение квалификации в Медицинском университете инновации и развития по специальности «Стоматология профилактическая».
2025 г. - Повышение квалификации в Всероссийском учебно-научно-методическом центре по непрерывному медицинскому и фармацевтическому образованию по специальности «Стоматология профилактическая».
2015 г. - Действующий член общества гигиенистов стоматологических России.
Дополнительное образование:
2015 г. - «Совершенные техники в стоматологии профилактической».
2017 год:
- «Профессиональная гигиена в вопросах и ответах. Система ClinPro»;
- «Неинвазивные методики устранения дисколоритов зубов. Реминерализующая терапия. Чувствительность зубов».
2018 год:
- «Отбеливание зубов системой Philips Zoom! White Speed»;
- «Реминерализирующая терапия в практике врача стоматолога»;
- «Профилактика воспалительных заболеваний слизистой полости рта и кариозных поражений».
2019 г. - Первый международный симпозиум компании Philips, «Решение в профилактической и эстетической стоматологии».
2020 год:
- «Профессиональная гигиена полости рта в консервативной пародонтальной терапии и комплексной реабилитации стоматологического пациента»;
- Конференция «Национальная школа пародонтологии»;
- «Мифы и заблуждения современной стоматологии».
Профессиональные навыки:
- профессиональная гигиена в полном объеме;
- профилактика заболеваний пародонта и твердых тканей зуба;
- терапия десны;
- ультразвуковая обработка, воздушно-абразивная Air Flow, работа ручными скейлерами;
- офисное и домашнее отбеливание;
- проведение уроков гигиены;
- подбор средств индивидуальной гигиены;
- профессиональная гигиена у пациентов с брекет-системой;
- профессиональная гигиена у пациентов с молочным и сменным прикусом;
- реминерализирующая терапия;
- изготовление капп для домашнего отбеливания и реминерализующей терапии.
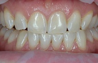
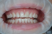
Работы врача
Отзывы пациентов
29 июля 2020













