Мишина Олеся Александровна
2018 г. - Окончила Первый Московский государственный медицинский университет им. И.М. Сеченова по специальности «Стоматология».
2020 г. - Ординатура вФедеральном медико-биологическом агентстсве России по специальности «Стоматология ортопедическая», г.Москва.
Дополнительное образование:
2016 г. - «Управление стоматологической клиникой. Практическое и клиническое обоснование комплексного стоматологического лечения», г.Москва.
2017 г. - «Профилактика осложнений, связанных с проведением обезболивания в стоматологии и алгоритм оказания неотложной помощи», г.Москва;
2018 г. - Участник IX Национального фестиваля имплантологи «Ошибки в дентальной имплантологии: причины и устранение», г.Москва.
2019 г. - «The single implant in the aesthetic zone.Surgical and restorative aspects», Dr.Stavros Pelekanos, г.Москва.
2021 г. - «Планирование ортопедического лечения. Препарирование зубов для изготовления керамических реставраций», г.Рязань.
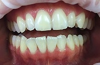
Работы врача
Отзывы пациентов
Хочу выразить благодарность всему коллективу. В особенности Мишиной Олесе Александровне, Тедееву Тимуру Леонидовичу, Пачалову Шамилю Абдуллаевичу.Вы молодцы, я очень доволен.
29 февраля 2024
24 августа 2022
04 ноября 2021
02 февраля 2019









