Отзывы пациентов
Расчёт стоимости лечения
           
Отправление
               
Заявка отправлена
          

Нажимая на кнопку «Отправить», вы даете согласие на обработку персональных данных и соглашаетесь с политикой конфиденциальности.
Специалист временно не ведет прием.

Марат Зайнулабидович

врач стоматолог-ортопед

2018 г. - Окончил Ставропольский государственный медицинский университет.

2018 г. - Ординатура на кафедре ортопедии и имплантации ЦНИИС и ЧЛХ.

Дополнительные образование:

2016 год:

  • «Современные методы устранения дисколорита зубов», Акулович А.В.;
  • «Itop – Curaprox»;

2017 г. - «Реминерализирующая терапия в практике врача-стоматолога», Акулович А.В.;

2019 год:

  • «Повышение качества лечения заболеваний пародонта с использованием современных технологий», Swiss dental academy;
  • «Принципы профилактики переимплантита с использованием современных технологий», Swiss dentalacademy;
  • «Icon – Infiltration concept», Валекс-М;
  • «Использование профессиональных систем Philips Zoom WhiteSpeed для отбеливания зубов в клинических и домашних условиях»;

2020 г. - «Профессиональная гигиена полости рта в консервативной пародонтальной терапии и комплексной реабилитации стоматологического пациента», Наконечный Д.А.

Чтобы записаться на прием, звоните по телефону
+7 495788-58-08

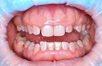
Работы врача

Отзывы пациентов

Проходила лечение у Эртувханова Марата Зайнулабидовича в январе 2023 года по поводу установки коронки на верхний жевательный зуб. Хочу выразить огромную благодарность и признательность доктору за его профессионализм, индивидуальный подход, вежливость и тактичность. Несмотря на мой страх к стоматологическим процедурам, с уверенностью могу сказать, что при каждом посещении данного доктора страхи просто рассеивались: уважительное отношение, комфортная обстановка и участие доктора сыграли большую роль. Высокий профессионализм и качество работы заметны даже сейчас по прошествии более чем полугода, о чем свидетельствует и мой лечащий стоматолог-терапевт. Хочу выразить огромную признательность Марату Зайнулабидовичу за его работу! Процветания и здоровья Вам, Марат Зайнулабидович!!!

14 октября 2023

Читать другие отзывы
Марат Зайнулабидович аккуратный, вежливый и знающий своё дело специалист. Ходил к нему на установку коронок, понравилось обращение и работа, проделанная легко, быстро и без неприятных ощущений.
Большое Вам спасибо, успехов в работе!

13 апреля 2022

Добрый день, меня зовут Жанна.  
Регулярно делаю профгигиену у доктора Эртувханова М.З.
Очень довольна работой доктора и полученным результатом. Он очень внимательный, образованный и знающий своё дело специалист.
Работает на совесть, нравится его профессиональный подход к делу, всегда даст правильные и нужные рекомендации.
Успехов Вам доктор и карьерного роста!!!

31 июля 2021

Был сегодня на приёме у доктора, очень рад что попал именно к нему потому что многие его рекомендовали мне , не пожалел и обосную это тем что
1- было совсем не больно
2- доктор работает с оптикой (что очень важно для меня)
3- грамотная речь и ответил на все интересующие меня вопросы
4- работает аккуратно , знает своё дело и четкая последовательность действий

12 декабря 2020

Задать вопрос
Оставить отзыв
           
Отправление
               
Ваш вопрос отправлен
          

Задать вопрос

Ваше имя
Возраст
Вопрос

Телефон

WhatsApp номер

Viber номер
Укажите предпочитаемый способ связи Электронная почта, Обратный звонок, WhatsApp, Viber
Нажимая на кнопку «Отправить», вы даете согласие на обработку персональных данных и соглашаетесь с политикой конфиденциальности.
           
Отправление
               
Ваш отзыв отправлен
          

Оставить отзыв

Ваше имя
Возраст
Почта
Отзыв

Нажимая на кнопку «Отправить», вы даете согласие на обработку персональных данных и соглашаетесь с политикой конфиденциальности.