Отзывы пациентов
Расчёт стоимости лечения
           
Отправление
               
Заявка отправлена
          

Нажимая на кнопку «Отправить», вы даете согласие на обработку персональных данных и соглашаетесь с политикой конфиденциальности.
Специалист временно не ведет прием.

Максим Борисович

врач стоматолог-ортопед

В 2004 году окончил Московский государственный медико-стоматологический университет по специальности «Ортопедическая стоматология». В настоящее время проходит обучение в аспирантуре Центрального научно-исследовательского института стоматологии. Врач первой категории.

Специализируется в области съёмного и несъёмного протезирования, бескаркасной керамики (коронки, виниры), протезирования на имплантах, условно-съемного протезирования, микропротезирования.

Является одним из ведущих специалистов сети клиник «Все свои» по установке сложных комбинированных конструкций: протезы с фиксацией на замках и телескопах.

Автор статьи «Системный подход к обеспечению качества в дентальной имплантации» (журнал «Дентал Форум»).

Чтобы записаться на прием, звоните по телефону
+7 495788-58-08

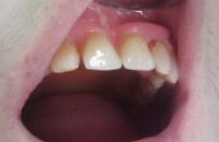
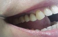
Работы врача

Отзывы пациентов

очень хороший врач. я очень довольна его работой. зубы выглядят естественно .

18 января 2015

Читать другие отзывы
Хотелось бы выразить благодарность Захаркину Максиму Борисовичу за его  высокий профессионализм, а также внимательное и бережное отношение к пациенту!
Я  осталась очень довольна поставленной коронкой, т.к. зуб выглядит абсолютно естественным! При этом никакого дискомфорта во время протезирования не ощутила,  и в этом, безусловно, заслуга врача, который  отлично знает свою работу  и умеет предотвратить болезненные ощущения во время данной процедуры.
Отличный врач – настоящий профессионал своего дела!
Всем рекомендую!

26 сентября 2014

Полгода как на работу ходила в эту клинику. Была проделана очень большая работа. Коронки,импланты...на обе челюсти. Скажу прямо- у меня "выросли" новые зубы!!! Максим Борисович-это не просто врач! Он - волшебник! У него золотые руки. Кто еще раздумывает и сомневается,всем советую записаться на прием к этому доктору. Профессионально, качественно, НЕ БОЛЬНО! Большое спасибо Вам,Максим Борисович,удачи в профессии,всех благ!

18 апреля 2013

Во все свои обращалась за установкой виниров, сказала, что деньги есть, дайте самого хорошего врача. Направили к Захаркину. Толковый врач, люблю хороших специалистов. Хотите красивую улыбку – это к нему.

29 ноября 2012

Врач действительно хороший, единственный его минус это трудностью с записью на прием из-за плотного графика, что и не мудрено, но оно того стоит, к вопросу здоровья нужно подходить серьозно.

13 сентября 2012

В клинике «Все свои» мне ставили импланты. Поставил 7 имплантов, и вышло ощутимо по цене. Не знаю пока, как качество, но ставил Максим Захаркин с профессионализмом, видно что человек опытный. Надеюсь, что все будет стоять хорошо.

08 февраля 2011

Задать вопрос
Оставить отзыв
           
Отправление
               
Ваш вопрос отправлен
          

Задать вопрос

Ваше имя
Возраст
Вопрос

Телефон

WhatsApp номер

Viber номер
Укажите предпочитаемый способ связи Электронная почта, Обратный звонок, WhatsApp, Viber
Нажимая на кнопку «Отправить», вы даете согласие на обработку персональных данных и соглашаетесь с политикой конфиденциальности.
           
Отправление
               
Ваш отзыв отправлен
          

Оставить отзыв

Ваше имя
Возраст
Почта
Отзыв

Нажимая на кнопку «Отправить», вы даете согласие на обработку персональных данных и соглашаетесь с политикой конфиденциальности.