Отзывы пациентов
Расчёт стоимости лечения
           
Отправление
               
Заявка отправлена
          

Нажимая на кнопку «Отправить», вы даете согласие на обработку персональных данных и соглашаетесь с политикой конфиденциальности.
Специалист временно не ведет прием.

Кемал Киёмович

врач стоматолог-ортопед

2014 г. - Окончил Крымский государственный медицинский университет им. С.И. Георгиевского по специальности «Стоматология».

2015 г. - Интернатура в Медицинской академии им. С.И. Георгиевского Крымского федерального университета им. В.И. Вернадского по специальности «Стоматология общей практики».

2016 г. - Профессиональная переподготовка в Учебно-консультационном центре Алтайской краевой общественной организации курортологов, физиотерапевтов по специальностям «Стоматология терапевтическая» и «Стоматология ортопедическая».

2023 г. - Повышение квалификации в Российской медицинской академии непрерывного профессионального образования по специальности «Стоматология ортопедическая».

Допоплнительное образование:

2019 год::

  • «Реабилитация пациентов с полной потерей зубов», NOBEL BIOCARE;
  • «Немедленная нагрузка – от включенного дефекта до полной адентии», MARGO DEGIDI.
Чтобы записаться на прием, звоните по телефону
+7 495788-58-08

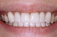
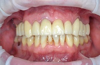
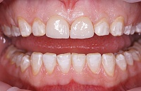
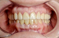
Работы врача

Отзывы пациентов

Остались очень довольны отношением всего персонала к нам: вежливы, предупредительны, внимательны и заботливы. Большое спасибо за то, что все вопросы по лечению были услышаны, ответы на них подробны ясны, отдельное спасибо за терпение, вопросов было много.
У вас очень чисто,светло и уютно.
Отдельное спасибо Фетсламову Кемалу Киёмовичу за очень чуткое и внимательное отношение.
Еще раз спасибо, с благодарностью Халтурины.

05 октября 2022

Читать другие отзывы
Ставила виниры коронкового типа на верхний ряд (8 зубов) — получилось просто великолепно: естественно, по ощущениям неотличимо от своих зубов. Подобрали идеальное сочетание по цвету и форме с нижним отбеленным рядом зубов.

Кемал Киёмович был очень вежлив, деликатен и профессионален на протяжении всего лечения, всегда предлагал альтернативы и объяснял, как будет проходить лечение. Вызывал доверие - никогда не было опасений, что что-то пойдет не так.

Спустя несколько месяцев все прекрасно - виниры ощущаются как собственные зубы, чувствительности не возникает, выглядят отлично.

Очень рекомендую!

27 июня 2022

Пришла проконсультироваться с проблемой протезирования без надежды на успех.
После беседы с предполагаемым врачом Кемал Киёмовичем Фетсламовым пропало сомнение. Появилась абсолютная уверенность и решение быть его пациентом.
Сегодня я с подаренным Кемалом Киёмовичем здоровьем, и что важно, привлекательной улыбкой. Огромное спасибо Вам. Будьте здоровы и счастливы на долгие годы творчества и жизненных удач в ювелирной работе!
P.S. Приходите в Стоматологию у метро «Алексеевская». Здесь действительно «Все свои» Родные.

06 июня 2022

Хочу оставить отзыв о замечательном враче Фетсламове Кемале Киёмовиче.
Некоторые, как и я, сталкивались с тем, что на приеме у стоматолога, врач использует Ваш подбородок, щеки, а, иногда даже и нос,
в качестве опоры для рук.
Спешу Вас заверить, что на приеме у Кемала Киёмовича этого не испытаете.
Доктор все делает навесу. Такое чувство, что он волшебник, который может опираться на воздух.
Даже инструменты в его руках тоже волшебные. Оказывается, что ими можно работать в полости рта не задевая небо и зубы, и даже язык не мешает.
Мне предстояло протезирования на имплантах, изготовление коронок и моста, поднятие десны. У Кемала Киёмовича потрясающий эстетический вкус!
Был подобран идеальный цвет моих будущих зубов, выполнен безупречный мост. Десны опустились на зубы так красиво-естественно, как-будто и нет никаких коронок!
Результатом я очень довольна. По-другому и не могло быть, ведь со мной работал профессионал!
На всех этапах работы, я ни разу не увидела растерянность, неуверенность доктора. У него всегда четкий план действий. Никаких лишних разговоров и движений. Все организованно на отлично!
Если доктор уверен в себе и, в том, что он делает, то пациент тоже чувствует себя комфортно.
У меня ни разу не было чувства страха, паники, желания все держать под контролем. Все делается настолько аккуратно и безупречно, что сидя в кресле Вы можете думать о чем угодно, даже вздремнуть.
Уважение к пациенту, внимание и тактичность на каждом приеме. Если будет хоть какой-то намек на то, что Вас что-то беспокоит, или Вас посетили какие-то сомнения, он уловит это.
Вы не останетесь со своими мыслями наедине. Можете их озвучить, не опасаясь, что на Вас выльется шквал негатива или будут убеждать в том, что это все Ваши выдумки.
Его беспокоит даже то, как Вы будете чувствовать себя дома. Порой он переживал за мое самочувствие больше, чем я сама.
Должна сказать, я очень боялась, что когда будет отходить анестезия начнутся сумасшедшие боли. Но, этого не происходило. Доктор назначал правильный план действий по приходу домой.
Я очень рада и благодарна случаю, что у меня ортопедом был он.(Изначально должным был быть другой ортопед)
В завершении, не могу не отметить отношение доктора к персоналу и коллегам, с которыми он работает.
Вежливость, тактичность, уважение при каждом обращении, в каждой фразе. И это вызывает еще большее восхищение доктором.
Искренне желаю Кемалу Киёовичу успехов! Доктор, продолжайте радовать пациентов результатами свое работы!
Тем, кто ищет стоматолога-ортопеда-эстета, рекомендую записаться к Кемалу Киёмовичу. Я уверена, что положительные эмоции от качества его работы Вам гарантированы!

09 февраля 2022

Фетсламов Кемал Киемович врач от Бога ! Внимательный,тактичный,знающий профессионал своего дела!Протезирование на 4 имплантах и титановой балке поставил профессионально без погрешностей!!!Все скрупулезно подогнал с точностью до мм!!!Работу выполнил на все 100%Очень ему благодарна!Таких бы побольше специалистов!Человек на своём месте!!!

21 июля 2021

Благодарю доктора за профессионализм. Всё понравилось. Делает всё аккуратно, держит контакт с пациентом. Вам повезло если вы попали к доктору!

14 ноября 2020

От чистого сердца хочу выразить благодарность врачу стоматологу-ортопеду Фетсламову Кемалу Киёмовичу. Прекрасный доктор, профессионал своего дела, внимательный, чуткий, доброжелательный, деликатный. Очень ответственное отношение к своей работе! Золотые руки! У кого тяжелый случай вам сюда, доктор справится с любой сложностью протезирования. Он не только подарил мне фантастически шикарные, красивые зубы, но и вернул мне мою улыбку утраченную много лет назад, а с ней и молодость, избавил от комплексов, теперь улыбка не сходит с моего лица, за что отдельный Низкий Поклон!
Высокий профессионализм, практический и эстетический подход к работе!
Желаю Вам процветания в вашем не легком труде!
От всей души Благодарю! Больше отдыхайте Док)))
Отдельная благодарность филиалу на «Алексеевской»! Европейский уровень, чуткий, вежливый, внимательный персонал!
С Уважением Светлана Геннадьевна Б.

10 октября 2019

От чистого сердца хочу выразить благодарность врачу стоматологу-ортопеду Фетсламову Кемалу Киёмовичу. Прекрасный доктор, профессионал своего дела, внимательный, чуткий, доброжелательный, деликатный. Очень ответственное отношение к своей работе! Золотые руки! У кого тяжелый случай вам сюда, доктор справится с любой сложностью протезирования. Он не только подарил мне фантастически шикарные,  красивые зубы, но и вернул мне мою улыбку утраченную много лет назад, а с ней и молодость, избавил от комплексов, теперь улыбка не сходит с моего лица, за что отдельный Низкий Поклон!
Высокий профессионализм, практический и эстетический подход к работе!
Желаю Вам процветания в вашем не легком труде!
От всей души Благодарю! Больше отдыхайте Док)))
Отдельная благодарность филиалу на «Алексеевской»! Европейский уровень, чуткий, вежливый, внимательный персонал!
С Уважением Светлана Б.

06 октября 2019

Задать вопрос
Оставить отзыв
           
Отправление
               
Ваш вопрос отправлен
          

Задать вопрос

Ваше имя
Возраст
Вопрос

Телефон

WhatsApp номер

Viber номер
Укажите предпочитаемый способ связи Электронная почта, Обратный звонок, WhatsApp, Viber
Нажимая на кнопку «Отправить», вы даете согласие на обработку персональных данных и соглашаетесь с политикой конфиденциальности.
           
Отправление
               
Ваш отзыв отправлен
          

Оставить отзыв

Ваше имя
Возраст
Почта
Отзыв

Нажимая на кнопку «Отправить», вы даете согласие на обработку персональных данных и соглашаетесь с политикой конфиденциальности.