Расчёт стоимости лечения
Гусенова Залина Магомедовна
гигиенист стоматологический
2012 г. - Окончила Астраханский базовый медицинский колледж по специальности «Стоматологическая помощь населению».
2017 г. - Повышение квалификации в Российском университете дружбы народов по специальности «Стоматологическая помощь населению».
2020 г. - Повышение квалификации в Национальном учебном центре по специальности «Стоматология».
2025 г. - Повышение квалификации во Всероссийском учебно-научно-методическом центре по непрерывному медицинскому и фармацевтическому образованию по специальности «Стоматология».
Дополнительное образование:
2016 год:
- Отбеливание системой «Zoom», «Beyond», «Klox»;
- «Гигиенист стоматологический».
2017 год:
- III летний ежегодный съезд ассоциации молодых стоматологов, г.Москва;
- «Управление стоматологической клиникой. Практическое и клиническое обоснование комплексного стоматологического лечения», Платонов И.А.;
- «Система отбеливания и домашнего ухода Spa dent»;
- «Использование профессиональных систем Philips Zoom White Speed для отбеливания зубов в клинических и домашних условиях».
2018 год:
- «ICON – Infiltration Concept, методика инфильтрации кариеса»;
- «Системе профессионального отбеливания Beyond Power Whitening»;
- «Комплексное планирование лечения», Бякин С.Ф.;
- «Принципы профилактики и лечения пародонтита и периимплатита с использованием современных технологий», Девликанова Л.И..
2019 год:
- Первый международный симпозиум компании Philips «Решение в профилактической и эстетической стоматологии»;
- «Очаровательность и блеск улыбки, способны осветить весь мир».
Регулярно совершенствует профессиональные навыки в области гигиены, профилактики стоматологических заболеваний и эстетической стоматологии.
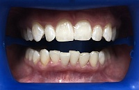
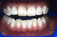
Работы врача
Отзывы пациентов
Валентин, 44 года:
Залина Магомедовна классный доктор. Всегда с душой проводит лечение. Очень классный специалист. Спасибо Вам большое.
04 июня 2022
Полякова Светлана, 57 лет:
В третий раз прихожу на гигиену полости рта. Сначала привлекли цены очень приемлемые. Но теперь я с огромным доверием и благодарностью прихожу к Залине. Это профессионал высочайшего класса и золотыми руками. Я засыпаю в кресле. От расслабления и доверия. Спасибо за мастерство и великолепный результат. Улыбаюсь с удовольствием, сверкая ухоженными и жемчужными зубами
25 декабря 2021
Задать вопрос
Оставить отзыв














