Отзывы пациентов
Расчёт стоимости лечения
           
Отправление
               
Заявка отправлена
          

Нажимая на кнопку «Отправить», вы даете согласие на обработку персональных данных и соглашаетесь с политикой конфиденциальности.
Специалист временно не ведет прием.

Давуд Магомедбаширович

врач стоматолог-ортопед

2016 г. - Окончил Дагестанскую государственную медицинскую академию.

2016 г. - Ординатура на базе МОНИКИ им. Владимировского, по специальности «Ортопедическая стоматология».

Дополнительное образование, курсы повышения квалификации:

  • «Реставрация зубов фронтальной группы»;
  • «Оптическая интеграция реставрации»;
  • «Реставрация зубов жевательной группы»;
  • «Особенности постэндодонтической реставрации»;
  • «Выбор местного анестетика в стоматологической практике»;
  • «Простота и качество в эндодонтии. Повторное эндодонтическое лечение»;
  • «Методика эстетической реставрации материалами группы ESTILITE»;
  • «Сочетание офисного и домашнего отбеливания система Opalescence».

Профессиональные навыки:

  • лечение кариеса зубов и его осложнения;
  • реставрация зубов современными светоотверждаемыми материалами;
  • эндодонтия, лечение корневых каналов, извлечение из корневых каналов инородных тел.
Чтобы записаться на прием, звоните по телефону
+7 495788-58-08

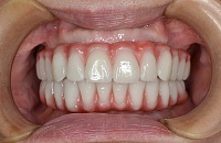
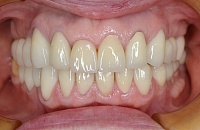
Работы врача

Отзывы пациентов

Доктор делал мне переднюю коронку – проблемный подвижный зуб, много кто брался, а получилось только у д-ра Халиманова, стоит уже несколько лет, всё супер))) Спасибо большое!

15 сентября 2022

Читать другие отзывы
Доброе утро! Благодарю  доктора Халималова Давуда Магомедбашировича за его труд и отношение к пациенту. Его работа заслуживает самой высокой оценки. Я , как человек осторожный, не зная кто будет заниматься моей проблемой переживала о том в чьи руки я попаду, но корректность, внимательность, доброжелательность и профессионализм Давуда Магомедбашировича  меня успокоили, и я уже не сомневалась, что желаемая эстетика и качество   будут достигнуты.  Еще раз искренне благодарю доктора и всю команду, которая решала мои проблемы. Желаю Вам успехов и довольных  пациентов .                                               С уважением, Чиликина Г.Н.

22 апреля 2021

Я лечился у доктора Давуда, прекрасный специалист, молодой, образованный, провел мне лечение на имплантах и на своих зубах поставил коронки, полностью доволен, вот уже 3 года моя жизнь с зубами изменилась в лучшую сторону, советую доверить лечение у доктора Халималова

24 сентября 2020

Хочу выразить огромную благодарность  Халималову Давуду Магомедбашировичу за проделанную работу ,профессионал своего дела,внимателен,компетентен,очень понравилась реставрация зубов,планирую дальнейшее лечение у Давуда Магомедбашировича!!!! Советую данного стоматолога-терапевта,красивая улыбка и здоровые зубы вам обеспеченны!!!!

29 декабря 2018

Спасибо большое Халималову Давуду Магомедбашировичу и  Азизову Магомеду Абдулазизовичу за профессионализм , компетентность, эффективность лечения .

был на приеме 28. 07.18

29 июля 2018

Задать вопрос
Оставить отзыв
           
Отправление
               
Ваш вопрос отправлен
          

Задать вопрос

Ваше имя
Возраст
Вопрос

Телефон

WhatsApp номер

Viber номер
Укажите предпочитаемый способ связи Электронная почта, Обратный звонок, WhatsApp, Viber
Нажимая на кнопку «Отправить», вы даете согласие на обработку персональных данных и соглашаетесь с политикой конфиденциальности.
           
Отправление
               
Ваш отзыв отправлен
          

Оставить отзыв

Ваше имя
Возраст
Почта
Отзыв

Нажимая на кнопку «Отправить», вы даете согласие на обработку персональных данных и соглашаетесь с политикой конфиденциальности.