Байрамов Нураддин Гасанович
- Академика Янгеля - врач стоматолог-имплантолог, врач стоматолог-ортопед;
- Новопеределкино - врач стоматолог-ортопед.
2013 г. - Окончил Первый Московский государственный медицинский университет им.И.М. Сеченова по специальности «Стоматология».
2014 г. - Интернатура в Первом Московском государственном медицинском университете им.И.М. Сеченова по специальности «Стоматология общей практики».
2016 г. - Ординатура в Первом Московском государственном медицинском университете им.И.М. Сеченова по специальности «Стоматология ортопедическая».
2017 г. - Профессиональная переподготовка в в Первом Московском государственном медицинском университете им.И.М. Сеченова по специальности «Стоматология хирургическая».
2022 г. - Повышение квалификации в Академии развития инновационных технологий по специальности «Стоматология ортопедическая».
2023 г. - Повышение квалификации в Российской медицинской академии непрерывного профессионального образования по специальности «Стоматология ортопедическая».
2025 г. - Повышение квалификации в Российской медицинской академии непрерывного профессионального образования по специальности «Стоматология хирургическая».
Дополнительное образование:
- «Протезирование съемными протезами при полной вторичной адентии», Мосдек;
- «Протезирование на имплантатах системы Альфабио, Mis»;
- «Центральное соотношение челюстей», Мосдек;
- «Ортопедические задачи для достижения безкомпромиссной эстетики», Арам Давидян;
- «Керамические виниры», Ряховский А.Н.;
- «Лечение и профилактика частичного и полного отсутствия зубов несъёмными и съемными протезами»;
- «Протезирование с опорами на импланты».
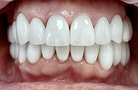
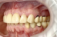
Работы врача
Отзывы пациентов
С первой же минуты нашего общения я почувствовала себя в надежных руках. Нураддин Гасанович обладает удивительным даром — он умеет говорить о сложных медицинских вещах просто, понятно и очень деликатно, вселяя в пациента абсолютное спокойствие и уверенность в том, что все будет хорошо. Ушли все страхи и сомнения, которые так долго меня тревожили.
Но что действительно поражает — это его высочайший профессионализм в деле. Его работа — это не просто ремесло, это настоящее искусство, где каждое движение выверено с ювелирной точностью. Про таких врачей говорят «золотые руки», и это сказано именно про Нураддина Гасановича. Его уникальное мастерство вызывает искренне восхищение. Врач с огромным сердцем.
Нураддин Гасанович, спасибо Вам за всё! Спасибо за Ваш титанический труд, за Вашу ответственность, за Ваше терпение. Продолжайте и дальше радовать своих пациентов своим удивительным мастерством!
16 ноября 2025
Благодарность!Хочу выразить свое восхищение работой Байрамова Нураддина Гасановича. Высочайший профессионализм, искусная работа, уникальное мастерство, внимание, чуткость к пациенту и высокий уровень ответственности. Прошу руководство найти возможную форму поощрения! Огромное спасибо Нураддин Гасанович, вы чудо-доктор, растите в своем профессионализме и дальше радуйте пациентов своим мастерством. Удачи вам во всем! Огромное человеческое спасибо.
01 мая 2023
как оказалось, лечение зубов у таких потрясающих врачей может быть не только безболезненным, но и приятным!
27 ноября 2021
Здравствуйте!
Выражаю благодарность сотрудникам Вашей клиники, в особенности Байрамову Нурадину Хасановичу – врачу ортопеду, за качественную помощь.
Будьте здоровы!!!
(Обыкновенный водитель Брянцев Александр Сергеевич)
25 апреля 2021
С первого дня визита сразу было видно профессионализм доктора. Доктор уверенно знает что он делает и вызвал полное доверие. Процесс постановки коронок прошел практически безболезненно. Большое Вам спасибо!
28 октября 2020
29 июля 2020
12 июля 2020
06 октября 2018
06 августа 2018
18 февраля 2018












