Отзывы пациентов
Расчёт стоимости лечения
           
Отправление
               
Заявка отправлена
          

Нажимая на кнопку «Отправить», вы даете согласие на обработку персональных данных и соглашаетесь с политикой конфиденциальности.
Специалист временно не ведет прием.

Арман Альбертович

врач стоматолог-терапевт

2008 г. - Окончил Армянский медицинский институт по специальности «Стоматология».

2011 г. - Ординатура в Государственном институте для усовершенствования врачей им.В.И. Ленина по специальности «Стоматология ортопедическая».

2015 г. - Профессиональная переподготовка в Институте переподготовки кадров Федерального медико-биологического агентства России по специальности «Стоматология ортопедическая».

2015 г. - Профессиональная переподготовка в Российском университете дружбы народов по специальности «Стоматология терапевтическая».

2019 г. - Профессиональная переподготовка в Университете профессиональных стандартов по специальности «Стоматология терапевтическая».

Дополнительное образование:

2015 год:

  • «Особенности работы с системой имплантации Ankylos dentsply friadent», Шатаров Д.М., Доибенев В.А.;
  • «Неотложные состояния в кресле стоматолога», Силаев Б.В.;
  • «Учебный курс по эндодонтии», DENSPLY Academy;
  • «Алгоритмы выполнения постэндодонтической реставрации при значительной утрате тканей зуба с использованием волоконных штифтов и вкладок»;
  • «Фронтальная реставрация зубов»;
  • «Оптическая интерграция реставрации»;
  • «Широкий взгляд на роль стеклоиономерных цементов в каждодневной практике врача-стоматолога», Косько А.В;
  • «Реставрация зубов жевательной группы».

2016 год:

  • «Лазерная стоматология, применения диодного лазера практике врача-стоматолога-хирурга, ортопеда, пародонтолога и терапевта»;
  • «Обучения по системе отбеливания Beyond Power Whitening. Beyond TM», Dental s Health;
  • «Адгезивная техника. Современные подходы к препарированию полостей»;
  • «Методика инфильтрации кариеса», ICON - infiltration concept.

2017 год:

  • «Первый международный стоматологический конгресс Dentsply Sirona World СНГ 2017»;
  • «Современные методы лечения и диагностики на эндодонтическом и терапевтическом приеме».

2018 год:

  • «Реставрация фронтальных зубов. Dentsply Sirona»;
  • «Комплексная методика работ частной стоматологической клиники», Поволоцкий В.С.

2019 г. - «Реставрация фронтальных зубов композитными материалами». Бразильский эстетический конгресс.

Чтобы записаться на прием, звоните по телефону
+7 495788-58-08

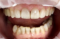
Работы врача

Отзывы пациентов

Спасибо доктору Григоряна Арману Альбертовича за его работу. Высококлассный специалист, профессионал своего дела. Чуткое и заботливое отношение к клиентам. По достоинству оценен и уважаем в коллективе. Самые лестные впечатления. Будьте счастливы, доктор Григорян! Удачи во всех начинаниях!

22 марта 2023

Читать другие отзывы
Выражаю искреннюю благодарность врачу-терапевту Арману Альбертовичу за хорошую работу, за хорошее доброе отношение к людям, за его профессионализм.
Всё делает с душой.
Просьба к руководству: отметить хорошую работу врача.
Большое спасибо.

13 февраля 2023

Спасибо доктору Григоряну за его работу. Сделал мне композитные виниры на передние зубы. Очень внимательный, тщательно делает свою работу. Не знаю, сколько продержатся виниры, но пока хожу и  не стесняюсь улыбаться. Красиво!

28 января 2022

СПАСИБО ЗА ЛЕЧЕНИЕ ЗУБА...ВСЕ АККУРАТНО И БЕЗБОЛЕЗНЕНО

16 ноября 2020

Я, Лебедева Ирина Станиславовна хочу выразить благодарность за очень квалифицированную работу и отличное отношение к пациентам, доктору клиники Григоряну Арману Альбертовичу И всему персоналу отдельное спасибо.

22 июля 2020

Огромнейшая благодарность Григоряну Арману Альбертовичу. Очень хороший врач! Всем его рекомендую. В следующий раз обращусь только к нему. СПАСИБО ВАМ БОЛЬШОЕ!

18 мая 2019

Выражаю свою благодарность терапевту Григоряну Арману Альбертовичу. Очень внимательный квалифицированный доктор, золотые ум и руки. Приятно ходить на лечение к такому врачу. Желаю успехов в работе! Побольше пациентов доктору и большую премию.

20 апреля 2019

Задать вопрос
Оставить отзыв
           
Отправление
               
Ваш вопрос отправлен
          

Задать вопрос

Ваше имя
Возраст
Вопрос

Телефон

WhatsApp номер

Viber номер
Укажите предпочитаемый способ связи Электронная почта, Обратный звонок, WhatsApp, Viber
Нажимая на кнопку «Отправить», вы даете согласие на обработку персональных данных и соглашаетесь с политикой конфиденциальности.
           
Отправление
               
Ваш отзыв отправлен
          

Оставить отзыв

Ваше имя
Возраст
Почта
Отзыв

Нажимая на кнопку «Отправить», вы даете согласие на обработку персональных данных и соглашаетесь с политикой конфиденциальности.