Отзывы пациентов
Расчёт стоимости лечения
           
Отправление
               
Заявка отправлена
          

Нажимая на кнопку «Отправить», вы даете согласие на обработку персональных данных и соглашаетесь с политикой конфиденциальности.
Специалист временно не ведет прием.

Антон Анатольевич

врач стоматолог-терапевт

2017 г. - Окончил Российский Университет Дружбы Народов, специальность «Врач-стоматолог общей практики».

2017 - 2019 гг. - Ординатор кафедры «Челюстно-лицевой хирургии» и «Хирургической стоматологии» в РУДН.

Постоянно повышает квалификацию и регулярно посещает образовательные курсы.

Профессиональные навыки:

  • эстетическое восстановление всех групп зубов композитами светового и двойного механизма отверждения;
  • работа с коффердамом;
  • работа в четыре руки;
  • отбеливание зубов, аппаратные способы профессиональной гигиены полости рта;
  • удаление зубов;
  • имплантация зубов.
Чтобы записаться на прием, звоните по телефону
+7 495788-58-08

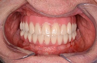
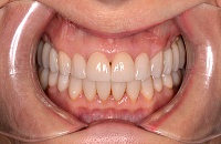
Работы врача

Задать вопрос
Оставить отзыв
           
Отправление
               
Ваш вопрос отправлен
          

Задать вопрос

Ваше имя
Возраст
Вопрос

Телефон

WhatsApp номер

Viber номер
Укажите предпочитаемый способ связи Электронная почта, Обратный звонок, WhatsApp, Viber
Нажимая на кнопку «Отправить», вы даете согласие на обработку персональных данных и соглашаетесь с политикой конфиденциальности.
           
Отправление
               
Ваш отзыв отправлен
          

Оставить отзыв

Ваше имя
Возраст
Почта
Отзыв

Нажимая на кнопку «Отправить», вы даете согласие на обработку персональных данных и соглашаетесь с политикой конфиденциальности.