Отзывы пациентов
Расчёт стоимости лечения
           
Отправление
               
Заявка отправлена
          

Нажимая на кнопку «Отправить», вы даете согласие на обработку персональных данных и соглашаетесь с политикой конфиденциальности.
Специалист временно не ведет прием.

Анастасия Сергеевна

гигиенист стоматологический

2013 г. - Окончила Государственный медико-стоматологический университет им. А. И. Евдокимова.

2014 г. - Окончила интернатуру в Федеральном государственном бюджетном учреждении "Учебно-научном медицинском центре Управления делами Президента РФ", стоматолог общей практики.

Курсы повышения квалификации:

  • 2016 г. - SDA: "Повышение качества лечения заболеваний пародонта с использованием современных технологий", Москва;
  • 2016 г. - SDA: "Принципы профилактики периимплантита с использованием современных технологий", Москва;
  • 2016 г. - Icon - Infiltration Concept (методика инфильтрации кариеса), Алекс М., Москва;
  • 2016 г. - Использование системы отбеливания зубов "KLOX", Москва;
  • 2016 г. - Использование профессиональных систем "PHilips ZOOM" для отбеливания зубов, Москва.
Чтобы записаться на прием, звоните по телефону
+7 495788-58-08

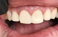
Работы врача

Отзывы пациентов

Нужно было подшлифовать накладку (вид пломбы), убрать неровности.
Анастасия Сергеевна отнеслась очень внимательно, выполнила работу на очень высоком уровне, подробно ответила на все вопросы, оставила самое прекрасное впечатление. Желаю ей всего самого лучшего в жизни и работе!

31 января 2022

Задать вопрос
Оставить отзыв
           
Отправление
               
Ваш вопрос отправлен
          

Задать вопрос

Ваше имя
Возраст
Вопрос

Телефон

WhatsApp номер

Viber номер
Укажите предпочитаемый способ связи Электронная почта, Обратный звонок, WhatsApp, Viber
Нажимая на кнопку «Отправить», вы даете согласие на обработку персональных данных и соглашаетесь с политикой конфиденциальности.
           
Отправление
               
Ваш отзыв отправлен
          

Оставить отзыв

Ваше имя
Возраст
Почта
Отзыв

Нажимая на кнопку «Отправить», вы даете согласие на обработку персональных данных и соглашаетесь с политикой конфиденциальности.