- Зуботехническая лаборатория
- Рентген-лаборатория
- Материалы
- Оборудование
- Апекслокатор
- Аппарат Вектор
- Артикулятор
- Бормашина
- Визиограф
- Хирургический шаблон
- Дренаж
- Зубной зонд
- Ирригатор
- Лицевая дуга
- Окклюдаторы
- Ортопантомограф
- Скалер
- Стоматологическое зеркало
- Томограф
- Внутриротовая видеокамера
- Шкала Вита
- Лампа Zoom 4
- Технологии
- Обучение врачей
- Системы отбеливания зубов
- Осветление Zoom QuickPro
- Отбеливание Opalescence
- Отбеливание в домашних условиях
- Офисное отбеливание
- Beyond
- Beverly Hills
- Klox
- Лазерная
- Yotuel
- Lumacool
- Системы имплантации зубов
- Абатмент
- Альфа Био
- Мини-импланты
- Биогоризонт
- Adin
- Astra Tech
- Bicon
- Implantium
- Impro
- Osteofit
- Nobel Biocare
- Superline
- Zygoma
- Наркоз
- Методы выравнивания зубов
- Аппарат Френкеля
- Брекеты Smartclip
- Брекеты Conmet
- Брекеты Сlarity
- Брекеты Hype
- Брекеты Prodigy
- Брекеты Sprint
- Брекеты Saphire Miso
- Брекеты STb
- Брекеты Victory
- Брекеты Ormco
- Брекеты Pure
- Брекеты инкогнито
- Брекеты лингвальные
- Брекеты сапфировые
- Губной бампер
- Элайнеры Invisalign
- Элайнеры Star Smile
- Ретейнер
- Лигатура
- Ортодонтические кольца
- Методы протезирования зубов
- Аттачмены
- Армирование
- Грилзы
- Иммедиат-протезы
- Люминиры
- Украшения на зубы
- Кламмеры
- Телескопические коронки
- Cad Cam системы
- Методы лечения зубов
- Апикальная хирургия
- Аппликации
- Вкладка
- Лазерное лечение
- Серебрение молочных зубов
- Штифт
- Методы лечения десен
- Лечение стоматита у взрослых
- Лечение стоматита у детей
- Методы диагностики
- Аксиография
- Препараты
Стоматология «Все свои!» в Алтуфьево
- Клиника,
- Отзывы пациентов,
- Фото и видео
-
Клиника переехала в Бибирево!Ежедневно с 8:00 до 21:00
Клиника «Все свои!» в районе метро Алтуфьево – это стоматология для всей семьи по доступным ценам, работающая ежедневно с 08:00 до 23:00. Колоссальный врачебный и научно-практический опыт, а также техническое оснащение – бесшумные стоматологические установки, ортопантомограф, интраоральная камера, позволяют браться за самые тяжелые клинические случаи.
-
Первичный осмотр стоматолога
Бесплатно!
-
Бонусная карта
40%
-
Скидка на гигиену полости рта
5 750 р. / 12 320 р.
-
Семейная скидка в клинике «Все свои!»
до 25%
-
Скидка по социальной карте
3%
Для постоянных и новых пациентов стоматологии «Все свои!» на Шенкурском проезде действуют программы лояльности – накопительные и разовые скидки, бонусы. Предусмотрена возможность оплаты как наличными, так и банковской картой. Безопасность при лечении обеспечивается благодаря центральному стерилизационному отделению.
Отзывы пациентов
-
Татьяна Вениаминовна Елисеева
| 01.01.2022
Самые теплые поздравления с Новым 2022 годом руководителям клиники «Все свои» (на Шенкурском 11, у метро Алтуфьево), спасибо за такой дружный, внимательный и профессиональный коллектив!
Желаю оставаться на таком высоком уровне! Вы лучшие!!!
Выражаю сердечную благодарность прекрасным докторам клиники «Все свои»: Быкову Александру Владимировичу, Иманшапиеву Саиду Иманшапиевичу, Цицуашвили Илие Давидовичу и менеджеру по сопровождению Астаховой Татьяне профессионалам своего дела, золотые руки докторов делают свою работу качественно, красиво, аккуратно, с душевным теплом, очень внимательные врачи в клинике «Все свои», радует вежливое отношение к пациентам и отлично выполненная работа. Я проходила у вас в клинике лечение зубов курсом в течение года, с установкой импланта, очень довольна результатом.
Уважаемые прекрасные доктора дружного коллектива «Все свои», поздравляю вас с Новым 2022 годом! Оставйтесь на многое годы лучшими, добрыми и солнечными!
Желаю каждому из вас исполнения всех желаний, профессионального роста, процветания, счастья и удачи, крепкого здоровья вам и вашим родным и близким, мирного неба над головой, финансового благополучия и достатка!!!!
Желаю, чтобы руководство клиники отметили ваш добросовестный и нелегкий труд,
Большое спасибо за ваш труд, за то, что вы есть такие классные!
С уважением,
Татьяна Вениаминовна,Ирина Алексеевна| 13.12.2021
Хочу выразить большую благодарность врачу -ортопеду Бадунц Сократу Юрьевичу, г. Москва офис в Алтуфьево,замечательный, высокопрофессиональный врач, сделал все просто замечательно!!!
Хочется отметить и работу всего офиса, персонал очень внимательный и доброжелательный.
Спасибо!!!Анна| 29.10.2021
Обратилась в стомотологию "все свои" на Шенкурском, 11 по удалению зуба. Хочу отметить профессионализм хирурга Тиграна Хачиковича. Спасибо Вам за заботу, внимание, в следующий раз со своей зубной проблемой, обращусь только к Вам!Екатерина| 24.08.2021
Обратилась в клинику на Шенкурском проезде 11 с острой болью. Приятно удивило качество обслуживания и квалификация молодых врачей. Большое спасибо. -
Динара Губанова
| 30.07.2021
В клинике Все Свои на Шенкурском проезде д.11 (м.Алтуфьево) наблюдаюсь с 2018 года.
Началось все с осмотра и снимков, далее составили план лечения и преступили к поэтапному лечению.
После декрета зубы требовали серьезного ТО, поэтому было несколько коронок, перелечивание каналов, лечение пульпита, профессиональная чистка зубов, а затем брекеты. Сначала конечно пугают суммы, но потом посчитав и поделив по частям, сравнив с другими местами, понимаешь, что выходит очень даже выгодно. В клинике существует определенная система скидок, бывают приятные акции, также снимки и консультация бесплатные.
Особенно хочется отметить лечащего врача-терапевта Булояна Георгия Александровича за его профессионализм и качественную работу, все четко объяснил, рассказал, показал и самое важное сделал. Никаких болей и воспаления после перелечивания не было.
Также ортопед Быков Александр Владимирович поставил мне 4 коронки, которые отлично прижились и которые не отличить от своих родных зубов. Быков А.В. выполняет свою работу качественно, произвел хорошее впечатление своей грамотностью и профессионализмом и всегда был готов помочь, когда что-то мешало или беспокоило.
Ортодонтией я занималась у Белоусовой Евгении Александровны. Ее мне очень рекомендовали как профессионала своего дела, в чем я и убедилась и нисколько не пожалела. Евгения Александровна всегда была очень вежлива, доброжелательна и внимательна, всегда четко отвечала на все волнующие вопросы, и что самое важное, взялась за перелечивание после другого врача, так как был смещен прикус, и за год исправила данную ситуацию.
В целом, я осталась очень довольна проделанной за три года работой, сервисом и доброжелательным персоналом.Татьяна Вениаминовна Елисеева| 17.07.2021
Выражаю благодарность врачам клиники, кураторам, работникам регистратуры, обслуживающему персоналу и руководству Стоматология «Все свои!», очень классный коллектив, рекомендую желающим получать услуги стоматологи в клинике на Шенкурском пр.д.11 в Алтуфьево, здесь трудятся профессионалы, дружный приветливый персонал.
Я закончила лечение в 2020,а сейчас продолжаю лечение, мне сделали имплантацию двух зубов, сейчас завершается процесс протезирования.
Сердечное спасибо вам прекрасные доктора, очень талантливые, трудолюбивые, вежливые, внимательные, восхищаюсь вашим профессионализмом, прошу руководство Стоматология «Все свои!» обратить внимание на нижеуказанных в списке врачей клиники, пожалуйста, отметьте их труд приказом по учреждению с вручением премии:
1.Быкову Александру Владимировичу-врачу стоматологу-ортопеду
2.Иманшапиеву Саиду Иманшапиевичу-врачу стоматологу-терапевту
3.Цицуашвили Илиа Давидовичу - врачу стоматологу-имплантологу
4.Астаховой Татьяне – мой куратор (менеджер по сопровождению), за качественно выполненную работу, за трепетное, доброжелательное и теплое отношение, за слаженную работу всех служб этой клиники.
Работникам государственных стоматологических поликлиник надо брать с работников клиники Стоматология «Все свои!» пример и учиться организовывать работу врачей.
С уважением, Елисеева Татьяна Вениаминовна.
17.07.2021Sil’| 20.04.2021
Ставила коронку на зуб из керамики, в течении недели мне ее изготовили и установили, но спустя 2 года она слетает, хорошо хоть зуб на гарантии был, установили бесплатно.Александр| 31.01.2021
Был на приеме в Альтуфьево. По клинике все уютно красиво кроме кабинета где делали чистку. Не приятно было сидеть так как окна большие и ни чем не прикрытые. Такое ощущение, что тебе с противоположного дома в рот заглядывают. По чистке всё прекрасно сделал гигиенист Майоров Павел. Не доволен работой координатора. На первичном осмотре врач сказал что нужно менять коронку. Я сказал что собираюсь но позже. Не доволен тем, что не с ориентировала по ценам на коронки и при оплате сказала что лечение закончено. По чистке рекомендую всё прекрасно. -
Татьяна Носова
| 15.11.2020
Стоматология на Шенкурском пр. д.11 Выражаю огромную благодарность врачу-ортопеду Фетсламову Кемалу Киёмовичу!! На протяжении полугода протезировала весь рот. В процессе работы доктор все объяснял, было совершенно не больно, комфортно. Профессионал своего дела с золотыми руками. Всегда приветлив, к такому доктору хочется идти. Спасибо огромное за чуткие руки, за профессионализм!!! Работа выполнена на отлично!! Теперь я обладатель голливудской улыбки и что самое главное - нет никакого дискомфорта!!
А также хочу поблагодарить старшего менеджера Марину Аркадьевну Кошелеву!!! На протяжении всего лечения всегда была рядом, чувствовалась ее забота и участие. Спасибо огромное за ваш профессионализм!!! И процветания клиники "Все свои" на Шенкурском!!Гриша| 09.10.2020
Я еще в детстве носил пластинки, но они толком не помогли. А брекеты как-то откладывал, то институт, то работа. А тут карантин, работать перевели домой, почему бы не рискнуть. Обратился в клинику «Все свои!», там отличный стоматолог посоветовал самые современные брекеты Pitts 21. Установили буквально пару месяцев назад, но я уже вижу небольшой результат. Всем доволен, пока больше сказать ничего не могу.Екатерина| 07.09.2020
Хочу поблагодарить специалистов клиники «Все свои». У меня с детства был скучен нижний ряд, но почему-то в бесплатных стоматологиях мне об этом не говорили. Решила поставить хип, меня подкупила прозрачность брекетов и нечастая корректировка у врача, ибо я часто уезжаю в командировки. За год мои зубы стали идеально ровными, даже быстрее, чем прогнозировал врач. Смотрю на себя в зеркало и наслаждаюсь. Спасибо! -
Николай
| 01.07.2020
"Все свои" на Шенкурском пр-де, д.11.
Обращался дважды за 2020г. Первый раз восстановить истончившуюся пломбу - задача простая, результат быстрый, недорогой, качественный. Никаких нареканий, даже рассказывать не о чем толком. Второй поход серьезнее: 25, верхний, коренной, запущенный, зуб уже несколько лет ожидавший коронку, стал еще и намекать на это дискомфортом по десне. Были опасения, что момент я упустил и ждет меня незавидная судьба имплантата. НО. Пришел, все доступно объяснили, показали. Благо не сильно опоздал, зуб сохранили. Работа не быстрая, почистить, пролечить, слепки там и всякое такое, это не один поход. Как итог: крайне качественное исполнение, зуб иногда трудно самому вычислить в ряду, он будто родной, настолько качественно сработано. Минимум дискомфорта и боли в целом при всей работе над зубом мед. персонала клиники. Особый респект врачу Артему Станиславовичу Кабанюку - как врач и как человек всегда адекватно коммуницирует и доносит важную информацию, от чего волнения и сомнений в происходящем просто не остается, что у зубного врача оч важно. Ну и профессионализм, безусловно, легкая и быстрая рука, врач, явно знающий свое дело. В общем наипозитивнейше рекомендую.Наталья Базова| 30.06.2020
Здравствуйте, я благодарна сотрудникам клиники "Все свои" в Алтуфьево, работа врачей и подход к лечению достойны самых высоких оценок, я счастлива найти вас! НО некоторым девушкам на ресепшене искренне желаю научится радушию и этике общения, так как они являются лицом стоматологии и поддерживают имидж места, в которое хочется вернуться и рекомендовать друзья, что я и делаю.Ирина| 12.06.2020
Спасибо большое прекрасным сотрудникам клиники в Алтуфьево, лечила зуба сама , ставила импланты(Бадунц и Иванов профессионалы своего дела) , а теперь и ребенка лечу только здесь, детский доктор Дарчинян Гоар , самая добрая зубная фея , умеет найти подход к детям, что очень важно в работе детского врача ! Низкий вам поклон за вашу добросовестную работу ! С наступающим днём медицинского работника Вас ! -
Тимур Чижов
| 09.06.2020
Хочу поблагодарить коллектив врачей и консультантов в клинике на Алтуфьево, за внимание, участие, всестороннюю консультацию по лечению и профессиональную работу. Благодаря их помощи удается решать застарелые проблемы с зубами. Самочувствие превосходное.
Неожиданно также выяснилось что двое моих родственников в недавнем прошлом пользовались услугами клиники и остались довольны.Юлия Гордеева| 16.03.2020
Обратилась в стоматологию Все свои на Шенкурском пр-д д.11 по рекомендации дочери и хотя поначалу получилось небольшое недопонимание, хочу выразить искреннию благодарность ст. менеджеру Хрековой Светлае за ее доброе сердце и ответственность с которым она подходит к каждому клиенту, а также огромное спасибо Георгию Александровичу Булоян за Ваш профессионализм, старание, доброту сердца и мастерство.Дмитрий Сергеевич Сусь| 06.03.2020
Доброго времени суток. Хочу объявить благодарность Хирургу на Шенкурском пр., 11 - Фатахову Анзору Сулеймановичу, удалял кучу зубов (8 шт.). Думал по началу что будет больно, но оказалось всё намного радужнее, удаления проходили без проблем! Чувствуется рука профессионала! (Рука Бога). Всем советую обратиться в стоматологию Все свои - удаление зубов любой сложности без боли!
Клиника переехала в Бибирево!
Ближайшие районы и станции метро, обслуживаемые стоматологической поликлиникой (клиникой) на м. «Алтуфьево» – м. «Бибирево», «Отрадное», «Владыкино». Воспользуйтесь услугами качественной взрослой и детской стоматологии.
Правила предоставления платных медицинских услуг
График работы мед.персонала Алтуфьево
Сведения о территориальной программе 2021-2022 гг. (Москва)
Обратная связь очень важна для нас, поэтому мы рады получать отзывы наших пациентов. Это помогает нам совершенствоваться, работать еще эффективнее.
-
Первичный осмотр стоматолога
Бесплатно!
-
Бонусная карта
40%
-
Скидка на гигиену полости рта
5 750 р. / 12 320 р.
-
Семейная скидка в клинике «Все свои!»
до 25%
-
Скидка по социальной карте
3%
-
Татьяна Вениаминовна Елисеева
| 01.01.2022
Самые теплые поздравления с Новым 2022 годом руководителям клиники «Все свои» (на Шенкурском 11, у метро Алтуфьево), спасибо за такой дружный, внимательный и профессиональный коллектив!
Желаю оставаться на таком высоком уровне! Вы лучшие!!!
Выражаю сердечную благодарность прекрасным докторам клиники «Все свои»: Быкову Александру Владимировичу, Иманшапиеву Саиду Иманшапиевичу, Цицуашвили Илие Давидовичу и менеджеру по сопровождению Астаховой Татьяне профессионалам своего дела, золотые руки докторов делают свою работу качественно, красиво, аккуратно, с душевным теплом, очень внимательные врачи в клинике «Все свои», радует вежливое отношение к пациентам и отлично выполненная работа. Я проходила у вас в клинике лечение зубов курсом в течение года, с установкой импланта, очень довольна результатом.
Уважаемые прекрасные доктора дружного коллектива «Все свои», поздравляю вас с Новым 2022 годом! Оставйтесь на многое годы лучшими, добрыми и солнечными!
Желаю каждому из вас исполнения всех желаний, профессионального роста, процветания, счастья и удачи, крепкого здоровья вам и вашим родным и близким, мирного неба над головой, финансового благополучия и достатка!!!!
Желаю, чтобы руководство клиники отметили ваш добросовестный и нелегкий труд,
Большое спасибо за ваш труд, за то, что вы есть такие классные!
С уважением,
Татьяна Вениаминовна,Ирина Алексеевна| 13.12.2021
Хочу выразить большую благодарность врачу -ортопеду Бадунц Сократу Юрьевичу, г. Москва офис в Алтуфьево,замечательный, высокопрофессиональный врач, сделал все просто замечательно!!!
Хочется отметить и работу всего офиса, персонал очень внимательный и доброжелательный.
Спасибо!!!Анна| 29.10.2021
Обратилась в стомотологию "все свои" на Шенкурском, 11 по удалению зуба. Хочу отметить профессионализм хирурга Тиграна Хачиковича. Спасибо Вам за заботу, внимание, в следующий раз со своей зубной проблемой, обращусь только к Вам!Екатерина| 24.08.2021
Обратилась в клинику на Шенкурском проезде 11 с острой болью. Приятно удивило качество обслуживания и квалификация молодых врачей. Большое спасибо. -
Динара Губанова
| 30.07.2021
В клинике Все Свои на Шенкурском проезде д.11 (м.Алтуфьево) наблюдаюсь с 2018 года.
Началось все с осмотра и снимков, далее составили план лечения и преступили к поэтапному лечению.
После декрета зубы требовали серьезного ТО, поэтому было несколько коронок, перелечивание каналов, лечение пульпита, профессиональная чистка зубов, а затем брекеты. Сначала конечно пугают суммы, но потом посчитав и поделив по частям, сравнив с другими местами, понимаешь, что выходит очень даже выгодно. В клинике существует определенная система скидок, бывают приятные акции, также снимки и консультация бесплатные.
Особенно хочется отметить лечащего врача-терапевта Булояна Георгия Александровича за его профессионализм и качественную работу, все четко объяснил, рассказал, показал и самое важное сделал. Никаких болей и воспаления после перелечивания не было.
Также ортопед Быков Александр Владимирович поставил мне 4 коронки, которые отлично прижились и которые не отличить от своих родных зубов. Быков А.В. выполняет свою работу качественно, произвел хорошее впечатление своей грамотностью и профессионализмом и всегда был готов помочь, когда что-то мешало или беспокоило.
Ортодонтией я занималась у Белоусовой Евгении Александровны. Ее мне очень рекомендовали как профессионала своего дела, в чем я и убедилась и нисколько не пожалела. Евгения Александровна всегда была очень вежлива, доброжелательна и внимательна, всегда четко отвечала на все волнующие вопросы, и что самое важное, взялась за перелечивание после другого врача, так как был смещен прикус, и за год исправила данную ситуацию.
В целом, я осталась очень довольна проделанной за три года работой, сервисом и доброжелательным персоналом.Татьяна Вениаминовна Елисеева| 17.07.2021
Выражаю благодарность врачам клиники, кураторам, работникам регистратуры, обслуживающему персоналу и руководству Стоматология «Все свои!», очень классный коллектив, рекомендую желающим получать услуги стоматологи в клинике на Шенкурском пр.д.11 в Алтуфьево, здесь трудятся профессионалы, дружный приветливый персонал.
Я закончила лечение в 2020,а сейчас продолжаю лечение, мне сделали имплантацию двух зубов, сейчас завершается процесс протезирования.
Сердечное спасибо вам прекрасные доктора, очень талантливые, трудолюбивые, вежливые, внимательные, восхищаюсь вашим профессионализмом, прошу руководство Стоматология «Все свои!» обратить внимание на нижеуказанных в списке врачей клиники, пожалуйста, отметьте их труд приказом по учреждению с вручением премии:
1.Быкову Александру Владимировичу-врачу стоматологу-ортопеду
2.Иманшапиеву Саиду Иманшапиевичу-врачу стоматологу-терапевту
3.Цицуашвили Илиа Давидовичу - врачу стоматологу-имплантологу
4.Астаховой Татьяне – мой куратор (менеджер по сопровождению), за качественно выполненную работу, за трепетное, доброжелательное и теплое отношение, за слаженную работу всех служб этой клиники.
Работникам государственных стоматологических поликлиник надо брать с работников клиники Стоматология «Все свои!» пример и учиться организовывать работу врачей.
С уважением, Елисеева Татьяна Вениаминовна.
17.07.2021 -
Татьяна Носова
| 15.11.2020
Стоматология на Шенкурском пр. д.11 Выражаю огромную благодарность врачу-ортопеду Фетсламову Кемалу Киёмовичу!! На протяжении полугода протезировала весь рот. В процессе работы доктор все объяснял, было совершенно не больно, комфортно. Профессионал своего дела с золотыми руками. Всегда приветлив, к такому доктору хочется идти. Спасибо огромное за чуткие руки, за профессионализм!!! Работа выполнена на отлично!! Теперь я обладатель голливудской улыбки и что самое главное - нет никакого дискомфорта!!
А также хочу поблагодарить старшего менеджера Марину Аркадьевну Кошелеву!!! На протяжении всего лечения всегда была рядом, чувствовалась ее забота и участие. Спасибо огромное за ваш профессионализм!!! И процветания клиники "Все свои" на Шенкурском!!Гриша| 09.10.2020
Я еще в детстве носил пластинки, но они толком не помогли. А брекеты как-то откладывал, то институт, то работа. А тут карантин, работать перевели домой, почему бы не рискнуть. Обратился в клинику «Все свои!», там отличный стоматолог посоветовал самые современные брекеты Pitts 21. Установили буквально пару месяцев назад, но я уже вижу небольшой результат. Всем доволен, пока больше сказать ничего не могу.Екатерина| 07.09.2020
Хочу поблагодарить специалистов клиники «Все свои». У меня с детства был скучен нижний ряд, но почему-то в бесплатных стоматологиях мне об этом не говорили. Решила поставить хип, меня подкупила прозрачность брекетов и нечастая корректировка у врача, ибо я часто уезжаю в командировки. За год мои зубы стали идеально ровными, даже быстрее, чем прогнозировал врач. Смотрю на себя в зеркало и наслаждаюсь. Спасибо! -
Николай
| 01.07.2020
"Все свои" на Шенкурском пр-де, д.11.
Обращался дважды за 2020г. Первый раз восстановить истончившуюся пломбу - задача простая, результат быстрый, недорогой, качественный. Никаких нареканий, даже рассказывать не о чем толком. Второй поход серьезнее: 25, верхний, коренной, запущенный, зуб уже несколько лет ожидавший коронку, стал еще и намекать на это дискомфортом по десне. Были опасения, что момент я упустил и ждет меня незавидная судьба имплантата. НО. Пришел, все доступно объяснили, показали. Благо не сильно опоздал, зуб сохранили. Работа не быстрая, почистить, пролечить, слепки там и всякое такое, это не один поход. Как итог: крайне качественное исполнение, зуб иногда трудно самому вычислить в ряду, он будто родной, настолько качественно сработано. Минимум дискомфорта и боли в целом при всей работе над зубом мед. персонала клиники. Особый респект врачу Артему Станиславовичу Кабанюку - как врач и как человек всегда адекватно коммуницирует и доносит важную информацию, от чего волнения и сомнений в происходящем просто не остается, что у зубного врача оч важно. Ну и профессионализм, безусловно, легкая и быстрая рука, врач, явно знающий свое дело. В общем наипозитивнейше рекомендую.Наталья Базова| 30.06.2020
Здравствуйте, я благодарна сотрудникам клиники "Все свои" в Алтуфьево, работа врачей и подход к лечению достойны самых высоких оценок, я счастлива найти вас! НО некоторым девушкам на ресепшене искренне желаю научится радушию и этике общения, так как они являются лицом стоматологии и поддерживают имидж места, в которое хочется вернуться и рекомендовать друзья, что я и делаю.Ирина| 12.06.2020
Спасибо большое прекрасным сотрудникам клиники в Алтуфьево, лечила зуба сама , ставила импланты(Бадунц и Иванов профессионалы своего дела) , а теперь и ребенка лечу только здесь, детский доктор Дарчинян Гоар , самая добрая зубная фея , умеет найти подход к детям, что очень важно в работе детского врача ! Низкий вам поклон за вашу добросовестную работу ! С наступающим днём медицинского работника Вас ! -
Тимур Чижов
| 09.06.2020
Хочу поблагодарить коллектив врачей и консультантов в клинике на Алтуфьево, за внимание, участие, всестороннюю консультацию по лечению и профессиональную работу. Благодаря их помощи удается решать застарелые проблемы с зубами. Самочувствие превосходное.
Неожиданно также выяснилось что двое моих родственников в недавнем прошлом пользовались услугами клиники и остались довольны.Юлия Гордеева| 16.03.2020
Обратилась в стоматологию Все свои на Шенкурском пр-д д.11 по рекомендации дочери и хотя поначалу получилось небольшое недопонимание, хочу выразить искреннию благодарность ст. менеджеру Хрековой Светлае за ее доброе сердце и ответственность с которым она подходит к каждому клиенту, а также огромное спасибо Георгию Александровичу Булоян за Ваш профессионализм, старание, доброту сердца и мастерство.Дмитрий Сергеевич Сусь| 06.03.2020
Доброго времени суток. Хочу объявить благодарность Хирургу на Шенкурском пр., 11 - Фатахову Анзору Сулеймановичу, удалял кучу зубов (8 шт.). Думал по началу что будет больно, но оказалось всё намного радужнее, удаления проходили без проблем! Чувствуется рука профессионала! (Рука Бога). Всем советую обратиться в стоматологию Все свои - удаление зубов любой сложности без боли!
| 20.04.2021
| 31.01.2021
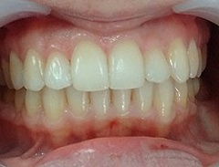
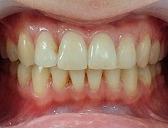
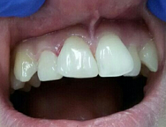
Фотографии и видеоматериалы клиники помогут вам заочно получить представление о клинике «Все свои!» и ознакомиться с примерами работ стоматологов.
-
Первичный осмотр стоматолога
Бесплатно!
-
Бонусная карта
40%
-
Скидка на гигиену полости рта
5 750 р. / 12 320 р.
-
Семейная скидка в клинике «Все свои!»
до 25%
-
Скидка по социальной карте
3%
Вы можете сами увидеть, как проходит профессиональное лечение сложного кариеса, исправление прикуса брекет-системами, протезирование с помощью керамических коронок и другие сложные процедуры.

