Пародонтит
Пародонтит — это одно из самых распространённых стоматологических заболеваний у людей старше 35 лет. Не всегда выявляемый на ранних этапах, действующий исподволь, он приводит к ранней потере зубов. И этим, увы, не ограничивается. Его длительное, зачастую незаметное влияние на весь организм в целом, приводит к увеличению риска возникновения таких заболеваний как сахарный диабет, бактериальный эндокардит, пиелонефрит, некоторые заболевания желудочно-кишечного тракта и бронхолегочной системы и т.д.
Цены
| 
                                    					 услуга 
                                    				 | 
                                    				
                                    					 
                                    						
                                    							Акция!*
                                    						
                                    					 
                                    				 | 
                                    				
                                    					 
                                    							Стоимость
                                    					
                                    					 
                                    				 | 
                                    			
| 
                                            					 
                                            						
                                            						                                                							
                                            								Вестибулопластика                                            							
                                            							                                            						
                                            						
                                            						 
                                            					 | 
                                            
                                            				
                                            					 | 
                                            
                                            				
                                            					 
                                                							
                                                							17 410 р.                                                							
                                            							
                                            						 
                                            					 | 
                                            			
| 
                                            					 
                                            						
                                            						                                                							
                                            								Вестибулопластика диодным лазером                                            							
                                            							                                            						
                                            						
                                            						 
                                            					 | 
                                            
                                            				
                                            					 | 
                                            
                                            				
                                            					 
                                                							
                                                							19 750 р.                                                							
                                            							
                                            						 
                                            					 | 
                                            			
| 
                                            					 
                                            						
                                            						                                                							
                                            								Закрытый кюретаж пародонтальных карманов                                            							
                                            							                                            						
                                            						
                                            						 
                                            					 | 
                                            
                                            				
                                            					 | 
                                            
                                            				
                                            					 
                                                							
                                                							990 р.                                                							
                                            							
                                            						 
                                            					 | 
                                            			
| 
                                            					 
                                            						
                                            						                                                							
                                            								Компьютерная томография для пародонтологического лечения                                            							
                                            							                                            						
                                            						
                                            						 
                                            					 | 
                                            
                                            				
                                            					 | 
                                            
                                            				
                                            					 
                                                							
                                                							5 150 р.                                                							
                                            							
                                            						 
                                            					 | 
                                            			
| 
                                            					 
                                            						
                                            						                                                							
                                            								Лечение пародонта аппаратом «Вектор», в области 1 зуба                                            							
                                            							                                            						
                                            						
                                            						 
                                            					 | 
                                            
                                            				
                                            					 | 
                                            
                                            				
                                            					 
                                                							
                                                							2 110 р.                                                							
                                            							
                                            						 
                                            					 | 
                                            			
| 
                                            					 
                                            						
                                            						                                                							
                                            								Открытый кюретаж пародонтальных карманов                                            							
                                            							                                            						
                                            						
                                            						 
                                            					 | 
                                            
                                            				
                                            					 | 
                                            
                                            				
                                            					 
                                                							
                                                							3 700 р.                                                							
                                            							
                                            						 
                                            					 | 
                                            			
| Процедура противопоказана в период ОРВИ, а также беременным женщинам. | ||
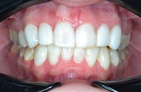
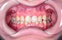
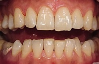
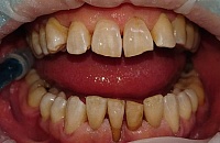
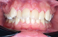
Работы наших врачей
Вопросы клиентов
Замахова Елена , 48 лет
У моего мужа парадонтит или парадонтоз. Это лечиться?
Ответ:
Здравствуйте.
Пародонтит, пародонтоз - заболевания хронические. Полностью излечится не возможно. Но можно добиться ремиссии т.е. значительное ослабление симптомов заболевания. И если постоянно наблюдаться у стоматолога-пародонтолога, то это заболевание не будет беспокоить Вашего мужа.
Дарья, 23 года
Недавно сделали лоскутную операцию на десна. Зарастет ли десна со временем или так и остануться дырки после каждого зуба? Выглядет не очень красиво, отрезали мне только «мешочки» т.к был парадонтит.
Ответ:
Дарья, здравствуйте. Лоскутные операции — это серьезная операция. Вы, к сожалению, не указали, как давно она проводилась. Если есть какие-то сомнения, то лучше обратитесь к вашему лечащему врачу для осмотра.