Стоматология «Все свои!» на Революционной улице
Клиника «Все свои!» удобно расположена недалеко от метро Гагаринская.
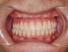
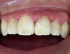
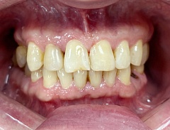
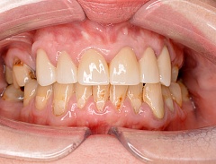
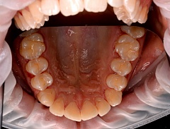
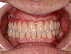
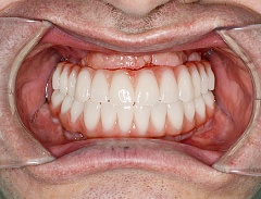
В нашей стоматологии вы можете установить съемный или несъемный протез, различные виды брекетов, избавиться от кариеса, в том числе без использования бормашины, а также пройти лечение десен. Одно из направлений нашей работы – имплантация зубов, позволяющая восстановить зубной ряд даже при полной адентии.
В данном филиале принимаются пациенты с 14 лет.
-
Подарок именинникам!
25%
-
Первый приём
Бесплатно
-
Элайнеры FlexiLigner под ключ в рассрочку!
Рассрочка
-
Светоотверждаемая пломба Estelite Palfique
3 490 р. / 4 950 р.
-
Комплексная гигиена полости рта
3 490 р. / 4 950 р.
Мы заботимся о наших пациентах во время всех этапов лечения и пребывания в клинике. Индивидуальный координатор напомнит о визите и ответит на все интересующие вопросы об услугах стоматологии.
Наши врачи
ул. Революционная, д. 155, подъезд 3
Стоматология «Все свои!» в Самаре располагается в 10 минутах ходьбы от станции метро Гагаринская. Выбирайте выход на Революционную улицу. Пройдите в сторону магазина «ВкусВилл» до перекрестка, далее направо и затем прямо до магазина «У Палыча». Другой ориентир — клуб «Метелица», расположенный через дорогу от клиники.
Если вы двигаетесь со стороны торгового центра «Аврора Молл», следуйте по улице Аэродромной до Дома молодежи и сверните направо на улицу Революционная.
Добраться до стоматологии можно на автобусах 24, 53, 2, 21м, 34, 41, 396 и трамвае 3, 1, 18, 23.
Лицензия клиники на Революционной
Сведения о юридическом лице клиники на Революционной
Правила предоставления платных медицинских услуг в клинике на Революционной
Договор оказания стоматологических услуг
Сведения о территориальной программе 2025-2027 гг. (Самара)
Правила предоставления платных медицинских услуг
Врачи клиники «Все свои!» – это опытные специалисты, прошедшие профильное обучение и регулярно повышающие свой профессиональный уровень, посещая курсы, лекции и семинары по стоматологии. В этом разделе вы можете узнать об образовании стоматологов клиники, их специализации, а также задать вопрос или оставить отзыв после посещения.
-
Подарок именинникам!
25%
-
Первый приём
Бесплатно
-
Элайнеры FlexiLigner под ключ в рассрочку!
Рассрочка
-
Светоотверждаемая пломба Estelite Palfique
3 490 р. / 4 950 р.
-
Комплексная гигиена полости рта
3 490 р. / 4 950 р.
-
Подарок именинникам!
25%
-
Первый приём
Бесплатно
-
Элайнеры FlexiLigner под ключ в рассрочку!
Рассрочка
-
Светоотверждаемая пломба Estelite Palfique
3 490 р. / 4 950 р.
-
Комплексная гигиена полости рта
3 490 р. / 4 950 р.









































