Отзывы пациентов
Расчёт стоимости лечения
           
Отправление
               
Заявка отправлена
          

Нажимая на кнопку «Отправить», вы даете согласие на обработку персональных данных и соглашаетесь с политикой конфиденциальности.
Специалист временно не ведет прием.

Виктория Евгеньевна

врач стоматолог-ортодонт

2012 г. - Окончила Московский государственный медико-стоматологический университет им.А.И.Евдокимова по специальности «Стоматология».

2013 г. - Интернатура в Московском государственном медико-стоматологическом университете им.А.И.Евдокимова по специальности «Стоматология общей практики».

2015 г. - Ординатура в Российском университете дружбы народов по специальности «Ортодонтия».

2020 г. - Повышение квалификации в Московском многопрофильном центре профессиональной переподготовки и повышения квалификации по специальности «Ортодонтия».

Дополнительное образование:

2013 год:

  • Конференция «Актуальные вопросы стоматологии»;
  • «III Конференция начинающих ортодонтов».

2014 год:

  • «Введение в механику низкого трения», Димитрис Мавреас;
  • «Основы философии MBTTM. Диагностика и лечение зубочелюстно-лицевых аномалий с использованием MBT-техники. Типодонт-курс»;
  • «Применение ортодонтических кап в клинической практике ортодонта».
  • 2015 г. - «Экспресс-методы диагностики патологии прикуса и планирования ортодонтического лечения с учетом постуральных особенностей».

    2017 год:

    • «Показания к удалению, лечение с удалением и без. Абсолютная опора. Миниимпланты», К.А. Зернова;
    • «Сравнительный анализ принципов биомеханики при использовании традиционной аппаратуры и пассивного самолигирования», С.А. Попова.
Чтобы записаться на прием, звоните по телефону
+7 495788-58-08

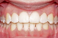
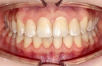
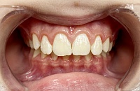
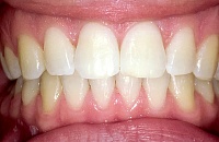
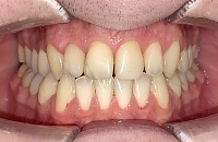
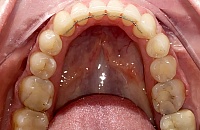
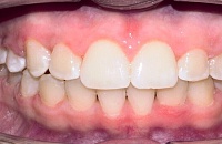
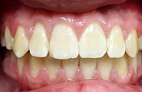
Работы врача

Вопросы пользователей

Анна, 45 лет:
Добрый день! Подскажите пожалуйста, можете ли Вы исправить прикус для дальнейшего протезирования, основная цель которого - устранение проблем с ВНЧС (артроз, дисфункция)? Гнатологи-ортопеды, по результату МРТ ВНЧС, отправляют сначала к ортодонту.
Ответ:
Добрый день. Мы отправили данный вопрос нашим экспертам по ортодонтии.
Читать другие вопросы
Ольга, 53 года:
Стоматолог назначил установку импланта Superline. Расскажите, кто производитель и какая дается гарантия на продукт?
Ответ:
Добрый день, Ольга! Импланты Superline производятся южнокорейской компанией Dentium, работающей на рынке имплантации с 2000 года. Superline оснащены двойной резьбой с увеличенным шагом, что способствует быстрой остеоинтеграции и сокращает время установки. Компания дает пожизненную гарантию на все виды производимых имплантов, в том числе на Superline.
Алевтина, 24 года:
Можно ли чистить зубы с брекетами электрической зубной щеткой?
Ответ:
Добрый день, Алевтина! Нет. Для брекет-систем есть специальные щетки, и приобрести их можно в любой аптеке. Для улучшения качества гигиены рекомендую также пользоваться ирригатором.
Задать вопрос
Оставить отзыв
           
Отправление
               
Ваш вопрос отправлен
          

Задать вопрос

Ваше имя
Возраст
Вопрос

Телефон

WhatsApp номер

Viber номер
Укажите предпочитаемый способ связи Электронная почта, Обратный звонок, WhatsApp, Viber
Нажимая на кнопку «Отправить», вы даете согласие на обработку персональных данных и соглашаетесь с политикой конфиденциальности.
           
Отправление
               
Ваш отзыв отправлен
          

Оставить отзыв

Ваше имя
Возраст
Почта
Отзыв

Нажимая на кнопку «Отправить», вы даете согласие на обработку персональных данных и соглашаетесь с политикой конфиденциальности.