Отзывы пациентов
Расчёт стоимости лечения
           
Отправление
               
Заявка отправлена
          

Нажимая на кнопку «Отправить», вы даете согласие на обработку персональных данных и соглашаетесь с политикой конфиденциальности.
Специалист временно не ведет прием.

Мадина Энверовна

врач стоматолог-ортопед

2017 г. - Окончила Московский государственный медико-стоматологический университет им. А.И. Евдокимова по специальности «Стоматология».

2019 г. - Ординатура в Российском университете дружбы народов по специальности «Стоматология ортопедическая».

Дополнительное образование:

2018 год:

  • «XIV International Congress of VDW Endodontic Synergy GmbH», г.Москва;
  • «Реставрация, ошибки и их устранение», г.Москва;
  • «Алгоритмы успешного и безопасного обезболивания в стоматологии», г.Москва.

2019 год:

  • «Master-class of Endodontic Synergy, VDW GmbH» г.Москва;
  • «XV International Congress of VDW Endodontic Synergy GmbH «Innovative Techniques in Endodontic Treatment», г.Москва;
  • «Прямые композитные реставрации-простые рецепты на каждый. Концепция Styleitaliano», г.Москва;
  • «Direct restoration congress», г.Москва.

2020 год:

  • «Прямые реставрации жевательной группы зубов», г.Москва;
  • «Методология препарирования», г.Москва.

2021 год:

  • Международный симпозиум «Квинтэссенция: передовые хирургические подходы в имплантологии»;
  • «Изготовление полного съемного протеза», Кример Д.А.;
  • «МРТ ВНЧС в ортопедической стоматологии», И.Комолов.

2022 год:

  • «Концепция All-on-4»;
  • Международный симпозиум «Квинтэссенция: gовышение эффективности реставрационного лечения с помощью компьютерных и адгезивных технологий»;
  • «Планирование ортопедического лечения. Препарирование зубов под керамические реставрации», Г. Дажаев.

Профессиональные навыки:

  • прием пациентов, ведение медицинской документации;
  • лечение кариеса, эстетические реставрации жевательной и фронтальной группы зубов;
  • эндодонтическое лечение корневых каналов ручными и машинными NiTi инструментами;
  • пломбирование методом латеральной компакции, Thermofil;
  • работа с коффердамом;
  • работа с бинокулярами;
  • отбеливание зубов, профессиональная гигиена полости рта, профилактические мероприятия;
  • подготовка зубов под протезирование, микропротезирование;
  • ортопедическое лечение.
Чтобы записаться на прием, звоните по телефону
+7 495788-58-08

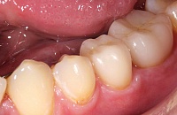
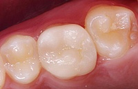
Работы врача

Задать вопрос
Оставить отзыв
           
Отправление
               
Ваш вопрос отправлен
          

Задать вопрос

Ваше имя
Возраст
Вопрос

Телефон

WhatsApp номер

Viber номер
Укажите предпочитаемый способ связи Электронная почта, Обратный звонок, WhatsApp, Viber
Нажимая на кнопку «Отправить», вы даете согласие на обработку персональных данных и соглашаетесь с политикой конфиденциальности.
           
Отправление
               
Ваш отзыв отправлен
          

Оставить отзыв

Ваше имя
Возраст
Почта
Отзыв

Нажимая на кнопку «Отправить», вы даете согласие на обработку персональных данных и соглашаетесь с политикой конфиденциальности.