Отзывы пациентов
Расчёт стоимости лечения
           
Отправление
               
Заявка отправлена
          

Нажимая на кнопку «Отправить», вы даете согласие на обработку персональных данных и соглашаетесь с политикой конфиденциальности.
Специалист временно не ведет прием.

Кристина Михайловна

врач первичного приема

2009 г. - Окончила Казахский национальный медицинский университет им.С.Д. Асфендиярова по специальности «Стоматология».

2010 г. - Интернатура на базе Казахского национального медицинского университета им.С.Д. Асфендиярова по специальности «Стоматология общей практики».

2014 г. - Повышение квалификации в Алматинском стоматологическом институте последипломного обучения по специальностям «Стоматология хирургическая» и «Дентальная имплантация».

2019 г. - Профессиональная переподготовка в Центре специализированного образования «Проф-Ресурс» по специальности «Стоматология терапевтическая».

2020 г. - Профессиональная переподготовка в Российском университете дружбы народов по специальности «Стоматология общей практики».

Дополнительное образование:

2010 год:

  • «Базовый курс по дентальной имплантологии с основами протезирования по системе Apha Bio Tec»;
  • «Восстановление дентального функционала на имплантатах при частичном и полном отсутствии зубов», Б. Фридзон.

2011 год:

  • Симпозиум Nobel Biocare «Современные технологии в имплантологии и эстетической стоматологии»;
  • «Планирование протезированиям на имплантата при полной и частичной адентии. Виды протезирования. Возможности. Проблемы, осложнения и способы их решения», Б. Фридзон.

2012 год:

  • Симпозиум компании Dentium «Восстановление дефектов зубочелюстной системы дентальными имплантатами, восстановление костных и мягких тканей в полости рта»;
  • «Базовый курс по дентальной имплантологии по системе Osstem Implant»;
  • «Особенности протезирования на дентальных имплантатах Osstem Implant», Dr.Kim Se Wuong;
  • «Синус-лифтинг. Костная пластика. Методика. Особенности. Осложнения», А. Ушаков;
  • «Regeneretion day. Биоматериалы: кратчайший путь к нужному результату», Романенко Н.В, Васильев С.Ю.

2014 год:

  • Ежегодный стоматологический симпозиум компании «Osstem Implant», г.Нью-Йорк;
  • «Простые и предсказуемые методы направленной костной регенерации, а также применение CAS Kit при закрытом синус-лифтинге», г. Нью-Йорк.
Чтобы записаться на прием, звоните по телефону
+7 495788-58-08

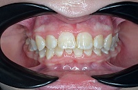
Работы врача

Задать вопрос
Оставить отзыв
           
Отправление
               
Ваш вопрос отправлен
          

Задать вопрос

Ваше имя
Возраст
Вопрос

Телефон

WhatsApp номер

Viber номер
Укажите предпочитаемый способ связи Электронная почта, Обратный звонок, WhatsApp, Viber
Нажимая на кнопку «Отправить», вы даете согласие на обработку персональных данных и соглашаетесь с политикой конфиденциальности.
           
Отправление
               
Ваш отзыв отправлен
          

Оставить отзыв

Ваше имя
Возраст
Почта
Отзыв

Нажимая на кнопку «Отправить», вы даете согласие на обработку персональных данных и соглашаетесь с политикой конфиденциальности.