Коростелев Александр Андреевич
2012 г. - С отличием окончил Белгородский государственный национальный исследовательский университет по специальности «Стоматология профилактическая».
2018 г. - Окончил Первый Московский государственный медицинский университет им.И.М. Сеченова по специальности «Стоматология».
2020 г. - Ординатура в Федеральном нацчно-клиническом центре специализированных видов медицинской помощи и медицинских технологий по специальности «Стоматология ортопедическая».
Членство в профессиональных организациях и клубах:
- Член Международной и европейской федерации гигиенистов;
- Член Профессионального общества гигиенистов стоматологических России;
- Член Общества по изучению цвета в стоматологии.
Дополнительное образование:
2011 г. - Симпозиум «Гигиенист стоматологический, 10 лет в России».
2012 г. - «Современные подходы к профилактике заболеваний полости рта в стоматологической практике».
2013 год:
- «Гигиенист стоматологический: 100 лет профессии»;
- «Современная микробиология и пародонтологическое лечение», профессор Моника Дансер, главный врач клиники Департамента пародонтологии университета АСТА, Нидерланды;
- «Принципы профилактики периимплантита с использованием современных технологий»;
- V съезд гигиенистов стоматологических России;
- Мастер-класс по отбеливанию клинической системой «Philips ZOOM»;
- Мастер-класс по отбеливанию клинической системой «Beyond»;
- Мастер-класс по отбеливанию клинической системой «Beverly Hills».
2014 год:
- «Современные методы устранения дисколоритов зубов», лектор Акулович А.В.;
- VI съезд гигиенистов стоматологических России;
- «Связь между здоровьем полости рта и общим состоянием здоровья: что следует рассказать пациентам», Тим Донли, профессор пародонтологии Университета Западного Кентукки, США.
2015 год:
- Обучение на базе компании DMG, г.Гамбург;
- IV международный симпозиум «Вопросы цвета в эстетической стоматологии»;
- Бронзовый призер IV Всероссийского Чемпионата в области «Профессиональное отбеливание зубов»;
- «Лечение кариеса на ранней стадии методом инфильтрации ICON».
2016 г. - Мастер-класс по отбеливанию клинической системой «Klox».
2016 год:
- Мастер-класс по отбеливанию клинической системой «Klox»;
- Серебряный призер регионального этапа всероссийского конкурса профессионального мастерства «Гигиенист стоматологический - лучший по профессии».
2017 год:
- Особенности работы с системой импантации Ankilos Densply Friadent;
- Особенности постэндодонтической реставрации;
- Международная конференция «Увидеть невидимое. Роль гигиениста стоматологического» и Съезд гигиенистов стоматологических России;
- Победитель регионального этапа Всероссийского конкурса профессионального мастерства «Гигиенист стоматологический - лучший по профессии»;
- Бронзовый призер Финала Всероссийского Конкурса Профессионального Мастерства «Гигиенист стоматологический - лучший по профессии»;
- Бронзовый призер Всероссийского конкурса «Лучший клинический случай по реминерализующей терапии»;
- «Мотивационное интервьюирование в клинической практике лидеров профессии гигиенист стоматологический».
2018 год:
- Обучение в Университете стоматологии, г.Мальмё, Швеция;
- Эксперт Министерства Здравоохранения РФ по аккредитации специалистов направления «Стоматология профилактическая»;
- 2 Workshop European dental hygienists federation, г.Милан, Италия.
2019 год:
- «От эндодонтии к прямой и непрямой реставрации Максим Белоград»;
- «Керамические виниры от А до Я: сохранение тканей зуба и улучшение эстетики методом «StyleItaliano», Ajay Juneja;
- «Керамические виниры: цифровые и традиционнные технологии. Реставрация боковой группы зубов после эндодонтического лечения: все что необходимо знать!», Rui Falacho;
- «Совершенствование методов обтурации в эндодонтии: от техники теплой гуттаперчи до методики одного штифта с применением биокерамического силера. Принципы достижения успешной обтурации», Filippo Cardinali.
2020 год:
- «Минимально инвазивное препарирование под полную анатомию», Иващенко В.;
- «Сплинт-терапия», Кочкаров П.Г.
Любимое высказывание врача: «Люди с красивой улыбкой меня просто завораживают. Следовало бы задуматься, что заставляет их улыбаться так красиво», Энди Уорхол.
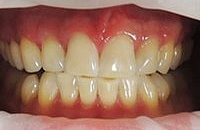
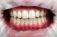
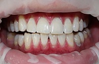
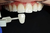
Работы врача
Отзывы пациентов
24 октября 2024
Мне повезло, что попал именно к нему. Результат превзошёл все ожидания.
После удаления всех зубов были установлены несъемные протезы на обе челюсти и идеально подогнаны. Редко встретишь специалистов, которые заинтересованы в постоянном саморазвитии и грамотном использовании новых подходов и технологий протезирования. У каждого пациента свой уникальный случай и только нестандартные подходы, основанные на знаниях и опыте врача, плюс творческий подход, дают потрясающий результат!
Большое Вам спасибо, остался очень доволен!
27 марта 2023
Не планировала, но попала именно к этому врачу по стечению обстоятельств в моей полости рта) Честно сказать, сначала боялась, что мне навязывают установку керамической вкладки, но Александр доступным для меня языком объяснил и наглядно показал, что это действительно необходимость в моем случае, за что отдельное спасибо.
Хочу отметить высокий профессионализм врача, индивидуальный подход (мне сложно угодить), перфекционизм в работе врача-стоматолога - на вес золота, внимательность и вежливость.
Большое спасибо, Александр.
04 февраля 2021
С уважением Елена Николаевна Т.
Ответ администрации:
Добрый день, Елена Николаевна!
Приношу Вам свои извинения за доставленные неудобства. Мы постарались обзвонить и предупредить всех наших пациентов, которые проходят лечение о смене адреса. К сожалению, до Вас не дозвонились.
Также на нашем сайте размещена информация о смене адреса клиники.
Будем рады видеть Вас в нашей клинике по новому адресу: г. Москва, ул. Привольная, д.1, к.1
15 января 2021
17 марта 2020
24 июля 2018
03 февраля 2017
19 ноября 2016
После чистки провел консультацию по личной гигиене полости рта, порекомендовал подходящую зубную щетку, пасту, ополаскиватель, нить.
Процедурой осталась довольна, рекомендую!
22 апреля 2016
06 февраля 2015
02 сентября 2014
26 августа 2014
01 апреля 2014
31 марта 2014
03 февраля 2014
09 декабря 2013
Вопросы пользователей
Реминерализация и восстановление зубной эмали Apadent PRO
Из видео-интервью с Коростелевым Александром Андреевичем, стоматологом-гигиенистом клиники «Все свои!», вы узнаете об инновационной методике восстановления зубной эмали – реминерализации японской пастой с нано-частицами гидроксиапатита Apadent PRO, о полезных свойствах «жидкой эмали» и о том, почему препарат незаменим до и после профессиональной чистки зубов.
 
					 
                                            























 
			
							 
																
							 
																
							 
																
							 
																
							 
																
							 
																
							 
																
							 
																
							 
																
							 
																
							