Расчёт стоимости лечения
Специалист временно не ведет прием.
Гаджи Мугутдинович
врач стоматолог-ортопед
2014 г. - Окончил Тверскую государственную медицинскую академию.
2015 г. - Интернатура, Тверская государственная медицинская академия, кафедра стоматологии общей практики и подготовки зубных техников.
Успешно окончил клиническую ординатуру на кафедре ортопедической стоматологии факультета постдипломного образования ТГМА.
Сфера профессиональных интересов: протезирование съемными протезами (в том числе акри-фри, нейлоновые, протезы на балках с опорой на дентальные имплантаты и т.д.), несъёмное протезирование (коронки, в том числе и безметалловые, на своих зубах и на имплантатах; виниры, керамические вкладки и т.д.).
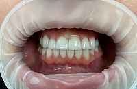
Работы врача
Отзывы пациентов
Леонид, 46 лет:
Очень хороший специалист, в его руках чувствуешь себя надежно, не делает на авось, если терапевты сделали некачественно свою работу перед ним, попросит переделать! Это дорогого стоит!!! Так держать!
17 июня 2021
Скакальская Людмила, 73 года:
Уважаемый стоматолог-ортопед Каирбеков Гаджи Мугутдинович!
Примите мою искреннюю благодарность за вашу высоко- профессиональную работу- изготовление съемного протеза для моей нижней челюсти. Протезировалась не в первый раз,( в других фирмах), но в первый раз испытала не только удовлетворение от результата, а просто радость! Изделие получилось не только удобным, комфортным, но и красивым!!! Дорогой Гаджи Мугутдинович! Я ношу его с удовольствием и вспоминаю Вас самым добрым словом каждый день два раза в день - когда надеваю и когда его снимаю! Профосмотр через год ( на который меня пригласила фирма) подтвердил высокое качество вашей работы- у меня все хорошо!
Ваша работа- это всегда создание нового. Это всегда процесс творчества! Я желаю Вам дальнейших творческих успехов на благо ваших благодарных пациентов!
Спасибо, спасибо, спасибо!!!!
Не могу не написать о менеджере по работе с пациентами Светлане Тарасовой, которая была со мной рядом все это время. Специалист не только компетентный, но очень внимательный и доброжелательный, умеющий найти нужный подход к пациенту! Находиться рядом с ней было очень приятно – она, как бы, вела меня за руку по процессу: звонила, напоминала, контролировала. Светочка, дорогая, спасибо Вам!
Мне очень понравилась клиника Все Свои. Протезировалась я на Цветном бульваре, которая сейчас переехала на Маяковку. Спасибо Вам всем!!!
Примите мою искреннюю благодарность за вашу высоко- профессиональную работу- изготовление съемного протеза для моей нижней челюсти. Протезировалась не в первый раз,( в других фирмах), но в первый раз испытала не только удовлетворение от результата, а просто радость! Изделие получилось не только удобным, комфортным, но и красивым!!! Дорогой Гаджи Мугутдинович! Я ношу его с удовольствием и вспоминаю Вас самым добрым словом каждый день два раза в день - когда надеваю и когда его снимаю! Профосмотр через год ( на который меня пригласила фирма) подтвердил высокое качество вашей работы- у меня все хорошо!
Ваша работа- это всегда создание нового. Это всегда процесс творчества! Я желаю Вам дальнейших творческих успехов на благо ваших благодарных пациентов!
Спасибо, спасибо, спасибо!!!!
Не могу не написать о менеджере по работе с пациентами Светлане Тарасовой, которая была со мной рядом все это время. Специалист не только компетентный, но очень внимательный и доброжелательный, умеющий найти нужный подход к пациенту! Находиться рядом с ней было очень приятно – она, как бы, вела меня за руку по процессу: звонила, напоминала, контролировала. Светочка, дорогая, спасибо Вам!
Мне очень понравилась клиника Все Свои. Протезировалась я на Цветном бульваре, которая сейчас переехала на Маяковку. Спасибо Вам всем!!!
24 июня 2018
Задать вопрос
Оставить отзыв