Бугунов Артем Олегович
2013 г. - Окончил Ставропольский государственный медицинский университет по специальности «Стоматология».
2014 г. - Интернатура в Ставропольском государственном медицинском университете по специальности «Стоматология общей практики».
2015 г. - Профессиональная переподготовка в КарьераМедиФарм по специальности «Стоматология хирургическая».
2016 г. - Ординатура в Московском государственном медико-стоматологическом университете им.А.И. Евдокимова по специальности «Челюстно-лицевая хирургия».
2019 г. - Повышение квалификации в КарьераМедиФарм по специальностям «Стоматология общей практики» и «Стоматология хирургическая».
2024 г. - Повышение квалификации в Российской медицинской академии непрерывного профессионального образования по специальности «Стоматология хирургическая».
Дополнительное образование:
2016 год:
- «Диагностика в стоматологии»;
- «Осложнения в хирургической стоматологии»;
- «Амбулаторная хирургическая стоматология в повседневной практике»;
- «Трехмерная компьютерная лучевая диагностика (МСКТ, КЛКТ, МРТ) в амбулаторной стоматологии, челюстно-лицевой хирургии и отоларингологии»;
- «Фармакотерапия в амбулаторной стоматологии»;
- «Неотложная помощь при критических состояниях у пациентов в амбулаторной стоматологической практике»;
- «Биологические, физиологические и механические причины перицервикальной рецессии тканей, влияющей на сокращение прогноза протезирования с опорой на дентальные имплантаты»;
- «Регенерация мягких тканей полости рта».
2017 год:
- «ASTRA TECH, Dentsply Implants»;
- «Dentsply Implants System Day»;
- «Все о высокодейственной системе минивинтов Bio-Ray»;
- «Use of the surgical components with the STRAUMANN Dental Implant System»;
- Международный имплантологический конгресс «Научно обоснованные и клинически подтвержденные концепции современной имплантологической практики», посещение практической сессии Иштвана Урбана «Концепция горизонтальной аугментации «Соседж-техника»;
- «DENTSPLY Implants System Day Basic course».
2018 год:
- «Восстановление толщины костной ткани методом профессора Кюри. Создание зоны прикрепленной кератинизированной десны», Зограбян А.В.;
- «Улучшение состояния мягких тканей при проведении имплантологического лечения»;
- «Все о высокодейственной системе минивинтов Bio-Ray»;
- «Квалификация костных дефектов. Аугментация альвеолярного отростка в горизонтальной области»;
- «Менеджмент мягких тканей и применение мягкотканых трансплантатов»;
- «Поднятие дна гайморовой пазухи, аугментация альвеолярного гребня в вертикальной плоскости».
2019 год:
- «Хирургические и ортопедические аспекты метода реабилитации по концепции All-on-4: костная пластика: открытый, закрытый синуслифтинг, «соседж-техника», восстановление дефекта альвеолярного гребня по Кюри, вертикальная и горизонтальная аугментация с использованием резорбируемых и нерезорбируемых мембран, восстановление дефекта дна гайморовой пазухи различными методиками, расщепления альвеолярного гребня»;
- «Решение сложных клинических задач с применением минимально инвазивных методик подготовки костной ткани к имплантации. Пластика мягких тканей», Roberto Rossi, Massimo Frossechi. Filippo Tomarelli;
- «Принципы планирования пластических операции в ротовой полости».
2021 год:
- «Практические аспекты применения концепции All-on-4. Профилактика ошибок и осложнений»;
- «Nobel Biocare World: актуальные концепции современной имплантологии»;
- «Имплантация в эстетически значимой зоне. Достижение долгосрочного результата и успеха»;
- «Реабилитация беззубых пациентов с помощью дентальных имплантатов с немедленной нагрузкой по протоколу Straumann», ProArch.
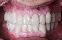
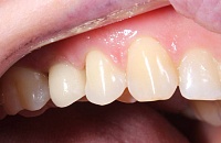
Работы врача
Отзывы пациентов
01 января 2025
28 июля 2021
Он мастер своего дела, Профессионал, очень чуткий, внимательный, скурпулёзный Доктор, всегда даёт подробные рекомендации по уходу за зубами после операции, которые я все обязательно выполняю.
Обращалась к нему много раз и устанавливала импланты "Анкилос" - очень довольна, всё приживается быстро, спасибо Артёму Олеговичу!
Так же хочу поблагодарить весь коллектив стоматологии "Все свои" на Бабушкинской!
С уважением, Сысоева Л.А.
13 апреля 2021
07 июня 2020
Доктор парадонтолог-хирург,имплантолог Артем Олегович Бугунов очень внимательный и квалифицированный доктор ,прием ведет с огромным пониманием и внимательностью, я много вопросов задавала прежде, чем пройти процедуру..., я приняла решение на лечение и все прошло нормально, после процедуры по укреплению десен и зубов, я несколько раз приходила на осмотр и коррекцию и всегда уходила довольная. Стоматологическая Клиника "Все Свои!" и доктор парадонтолог-хирург,имплантолог Артем Олегович Бугунов помогли сохранить мои зубы.
Благодарю весь коллектив Стоматологической Клиники "Все Свои!" за отличную квалифицированную работу и доброжелательно отношение.
Желаю всему коллективу Стоматологической Клиники "Все Свои!" и парадонтологу-хирургу,имплантолог Артему Олеговичу Бугунову успехов, богатства, процветания ,преуспевания и продвижения!
19 декабря 2017
20.04.2017
29 апреля 2017
21 ноября 2016


























