Азизов Магомед Абдулазизович
2005 г. - Окончил Дагестанскую государственную медицинскую академию по специальности «Стоматология».
2006 г. - Интернатура в Московском государственном медико-стоматологическом университете по специальности «Стоматология».
2009 г. - Ординатура в Московском государственном медико-стоматологическом университете по специальности «Стоматология ортопедическая».
2014 г. - Повышение квалификации в Национальном медико-хирургическом Центре им.Н.И. Пирогова по специальности «Стоматология ортопедическая».
2019 г. - Повышение квалификации в Мерегиональном центре подготовки медицинских кадров по специальности «Стоматология ортопедическая».
2024 г. - Повышение квалификации в Российской медицинской академии непрерывного профессионального образования по специальности «Стоматология ортопедическая».
Дополнительное образование:
2010 год:
- »Современная эндодонтия», Кастелуччи Армандо;
- «Особенности эстетической реставрации фронтальной и боковых групп зубов», Хиора Ж. П.;
- «Ведение пациентов с заболеваниями височно-нижнечелюстного сустава», Дымкова В. Н.;
- «Функциональный анализ зубочелюстной системы», Антоник М. М.
2012 год:
- «Эстетическая реабилитация пациентов несъемными ортопедическими конструкциями. Металлокерамические и безметалловые коронки и мосты», Кример Д.;
- «Профессиональная гигиена полости рта», Завьялова К. А.;
- «Планирование комплексного лечения»;
- Мастер-класс по отбеливанию системой Zoom, Балабановский Р.;
- «Современный взгляд на эндодонтическое лечение», Соломонов М.;
- «Постэндодонтическое восстановление зуба», Мендоса Е. Ю.
2013 год:
- «Хирургические и ортопедические задачи для достижения бескомпромиссной эстетики при протезировании на имплантатах», Давидян Арам;
- «Неотложная помощь при соматических осложнениях на амбулаторном стоматологическом приеме», Старков С.А.;
- «Круглый стол» по теме: «Ортопедическое лечение пациентов с частичным отсутствием зубов съемными конструкциями протезов», Тимофеева-Петрова Т.П.;
- «Шесть золотых правил в протезировании на имплантах. Как облегчить себе жизнь и удовлетворить запросы пациента», Ашок Сети;
- «Комплексное протезирования», Самсонов А.А.;
- «От профессионального врача к профессиональному руководителю», Нархова О.;
- «Комплексное планирование лечения пациентов. Междисциплинарный подход», Кример Д.;
- «Основные базовые принципы гнатологии», Громов К.Г.;
- «Планирование ортопедической конструкции с опорой на дентальные импланты». «Использование бинокуляров в стоматологической практике», Горлов А.;
- «Адгезивные цельнокерамические реставрации - путь к достижению идеального эстетического и функционального результата», лекторы Чикунов С.О. и Никоненко Д.М.;
- «Планирование ортопедических конструкций с опорой на имплантаты», Ким Э.В.;
- «Виды дисколоритов. Показания и противопоказания к их коррекции», Власова Н.Н.;
- «Актуальные проблемы современной эндодонтии и их решения», Джулиани Веббер;
- «Стоматология без боли и страха. Обезболивание. Использование компьютеризированного аппарата «CompuDent STA» в стоматологии, Овсепян А.П.
2014 год:
- «Артикуляционные системы SAM теория и практика», Северилов Дмитрий;
- «Центральное соотношение челюстей (ЦСЧ) – обзор методик, показания к применению в зависимости от клинической ситуации. Преимущества и недостатки, инструменты и материалы», Кример Дмиитрий.
Профессиональные навыки:
- выполняет все виды современных методик обтурации корневых каналов;
- перелечивание корневых каналов;
- эстетическая реставрация;
- все виды ортопедического лечения;
- протезирование на имплантах;
- комплексная реабилитация пациентов при сочетанных патологиях.
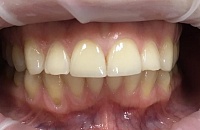
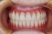
Работы врача
График работы врача
| Клиника | Пн | Вт | Ср | Чт | Пт | Сб | Вс | 
|---|---|---|---|---|---|---|---|
| «Все Свои!» м. Крылатское | c 16:00 до 23:00 | c 16:00 до 22:30 | 
Отзывы пациентов
12 января 2015
15 октября 2014
15 апреля 2014
06 ноября 2013
12 июля 2013
14 июня 2013
04 апреля 2013
05 февраля 2013
12 февраля 2012
03 января 2012
20 октября 2011
 
					 
                                            






























 
			
							 
																
							 
																
							 
																
							 
																
							 
																
							