Расчёт стоимости лечения
Алиева Гюльджаган Леонардовна
врач стоматолог-ортодонт
2019 г. - Окончила Первый Московский государственный университет им. И.М. Сеченова по специальности «Стоматология».
2021 г. - Ординатура в Московском государственном медико-стоматологическом университете им. А.И. Евдокимова по специальности «Стоматология ортодонтическая».
Дополнительное образование:
2020 г. - Семинар по использованию профессиональных систем Philips Zoom WhiteSpeed.
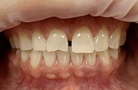
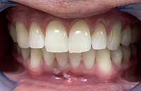
Работы врача
Задать вопрос
Оставить отзыв




