Отзывы пациентов
Расчёт стоимости лечения
           
Отправление
               
Заявка отправлена
          

Нажимая на кнопку «Отправить», вы даете согласие на обработку персональных данных и соглашаетесь с политикой конфиденциальности.
Специалист временно не ведет прием.

Александр Алексеевич

врач стоматолог-ортопед

2015 г. - Окончил Первый Московский Государственный Университет им. И.М. Сеченова по специальности «Стоматология».

2016 г. - Интернатура в Первом Московском Государственном Университете им. И.М. Сеченова по специальности «Стоматология общей практики».

2016 г. - Профессиональная переподготовка в Российской медицинской академии непрерывного профессионального образования Министерства здравоохранения Российской Федерации по специальности «Стоматология ортопедическая».

Дополнительное образование:

2016 г. - «Сочетанное протезирование с опорой на зубы и имплантаты», Дмитрий Компаниец.

2017 год:

  • «Прецизионный оттиск в стоматологии: секрет оптимального результата. Материалы, протоколы, клинические аспекты», Антон Бейтан;
  • «Особенности работы с системой имплантации Ankylos Dentsply», Смирнов Александр.

2018 год:

  • «Цифровой дизайн улыбки. Цифровая интеграция», Степан Лебедев;
  • «Протезирование на имплантатах», Василий Бочаров.

2019 год:

  • «Билдап. Восстановление зубов перед протезированием», Павел Пола;
  • «Цельнокерамические реставрации. Лекционно-практический курс на фантомах», Артем Олексик.

Профессиональные навыки:

  • восстановление разрушенных зубов штифтовыми конструкциями (литая штифто-культевая вкладка, build-up с использованием стекловолоконных штифтов), керамическими вкладками по типу inlay, onlay и overlay (Е-Мax);
  • покрытие зубов коронками, как металлокерамическими (каркас на основе кобальто-хромового сплава), так и на каркасе из диоксида циркония («безметалловые»);
  • эстетическое протезирование винирами и коронками на основе emax – прессованной керамики высоких эстетических показателей;
  • съемное протезирование, включая полное съемное как с использованием, так и без применения имплантатов;
  • несъемное протезирование имплантатах, как с винтовой, так и с цементной фиксацией.
Чтобы записаться на прием, звоните по телефону
+7 495788-58-08

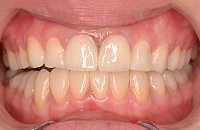
Работы врача

Отзывы пациентов

Хочется сказать большое спасибо Александру Алексеевичу за прекрасно проделанную работу!  Мой случай порой требовал нестандартных решений, которые он быстро находил и грамотно применял на практике. Результат меня очень устроил! Надеюсь мои новые зубы прослужат долго!

25 октября 2021

Читать другие отзывы
ОЧЕНЬ ХОРОШО ДЕЛАЕТ ОБСЛУЖИВОНИЕ ПОВЫШЕМУ РАЗРЯДУ Я ДОВОЛЬНА

11 мая 2018

Хочу сказать огромное спасибо доктору Муханову А.А.,за подробную и понятную консультацию,с удовольствием приду лечиться, и приведу своих знакомых и друзей !)

19 декабря 2017

Задать вопрос
Оставить отзыв
           
Отправление
               
Ваш вопрос отправлен
          

Задать вопрос

Ваше имя
Возраст
Вопрос

Телефон

WhatsApp номер

Viber номер
Укажите предпочитаемый способ связи Электронная почта, Обратный звонок, WhatsApp, Viber
Нажимая на кнопку «Отправить», вы даете согласие на обработку персональных данных и соглашаетесь с политикой конфиденциальности.
           
Отправление
               
Ваш отзыв отправлен
          

Оставить отзыв

Ваше имя
Возраст
Почта
Отзыв

Нажимая на кнопку «Отправить», вы даете согласие на обработку персональных данных и соглашаетесь с политикой конфиденциальности.