Цены
Процедура противопоказана в период ОРВИ, а также беременным женщинам.
* Условия акций указаны в разделе «Акции».
** Цены и акции, размещённые на сайте не являются публичной офертой. Цены и услуги предоставляются в соответствии с размещенным на сайте прейскурантом платных медицинских услуг.
*** Цены на услуги стоматолога указаны с учётом максимальной скидки и оплаты в течение 2-х дней с момента прохождения первичной консультации.
Преимущества Amazing White
- 38% концентрация пероксида водорода устраняет пигментные пятна и желтизну.
- Удобная система нанесения позволяет избавиться от потемнений даже в труднодоступных местах.
- Качественная изоляция десневого края с помощью жидкого коффердама защищает десны и слизистую от раздражения.
- После отбеливания зубы не выглядят искусственными, мы гарантируем естественный эстетичный вид вашей улыбки;
Этапы отбеливания зубов Amazing White
- Пройдите бесплатную консультацию и диагностику у врача. Специалист оценит состояние полости рта.
- После этого вместе с вами стоматолог определит, на сколько тонов нужно осветлить зубы, продемонстрирует возможный результат с помощью специальной шкалы.
- Перед отбеливанием необходимо пройти профессиональную гигиену полости рта, устранить кариозные очаги и зубные отложения.
- Стоматолог надевает пациенту защитный ретрактор на щеки и губы, специальным гелем защищает десны. Далее врач наносит на эмаль отбеливающий гель и активирует его LED-лампой. Через 10 минут снова наносит состав. Эти действия повторяются трижды, после чего полость рта промывается водой.

Рекомендации после отбеливания
В первые 2-3 дня после отбеливания Amazing White следует придерживаться полностью «белой» диеты и отказаться от курения. В дальнейшем, сократив употребление в пищу красящих продуктов и строго соблюдая гигиену полости рта, вы сохраните полученный результат до 2 лет.
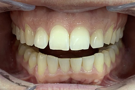
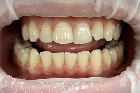
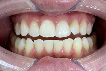
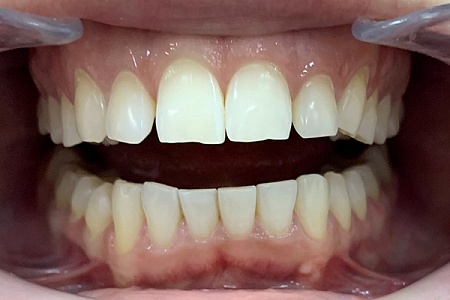
Работы наших врачей

Почему мы советуем Amazing White
Amazing White – это лучшее решение для тех, кто откладывал отбеливание из-за страха болезненных ощущений и повреждения зубов. Без лазера или ультрафиолета, только холодный свет LED-лампы. Отбеливающий гель не оказывает негативного влияния на эмаль, так как концентрация перекиси в нем предельно низкая. Одна процедура длится всего 10-15 минут, за это время вы не ощутите никакого дискомфорта.
Почему пациенты выбирают нас


