Стоматология «Все свои!» на Октябрьском поле
«Все свои!» у метро Октябрьское поле — это стоматологическая клиника для всей семьи. Мы выполняем все виды лечения зубов, включая протезирование и имплантацию. В своей работе используем современные технологии: интраоральные камеры, микроскопы. Умеем лечить кариес без сверления и боли — как взрослым, так и детям. Также вы можете записаться на гигиеническую чистку зубов и отбеливание по технологии Air Flow. Первая консультация — бесплатно.
В данном филиале принимаются пациенты с 5 лет.
-
Первичный осмотр стоматолога
Бесплатно!
-
Бонусная карта
30%
-
Скидка на гигиену полости рта
6 330 р. / 12 320 р.
-
Семейная скидка в клинике «Все свои!»
до 25%
-
Скидка по социальной карте
3%
Мы принимаем пациентов ежедневно с 8:00 до 21:00 в клинике на улице Маршала Малиновского. Оплата – как наличными, так и картой, а дорогое лечение можно оформить в кредит. У нас действует программа лояльности для постоянных пациентов и сезонные скидки на лечение.
Наши врачи
Отзывы пациентов
ул. Маршала Малиновского, дом 6, корп. 1
Стоматология «Все свои!» на Октябрьском поле расположена в 3 минутах от метро. Последний вагон из центра, выход № 7, повернуть направо и идти по дорожке до улицы Маршала Малиновского. Повернуть налево и идти ещё одну минуту. Мы находимся в длинном здании слева, во второй его половине.
Стоматология «Все свои!» от метро Зорге, время в пути 15 минут. Выход к улицам Берзарина и Маршала Бирюзова, пройти мимо заправки ЕКА, сервиса АвтоМир и кафе «У мангала», перейти через дорогу и повернуть налево. Двигайтесь прямо по дороге до детской поликлиники № 36 (ул. Берзарина 4), на углу повернуть направо, вглубь жилого массива (пересечение улиц Берзарина и Маршала Малиновского). Двигайтесь прямо по правой стороне до Маршала Малиновского д. 6, корп. 1 (4-ый дом от перекрестка).
Стоматология «Все свои!» от метро Панфиловская, время в пути 15 минут. Выход в сторону кинотеатра «Юность». Двигайтесь прямо вдоль улицы Народного ополчения до станции метро Октябрьское поле, перейдите дорогу по подземному переходу в сторону ТЦ «Дарья», при выходе из подземного перехода пройдите прямо до ближайшего перекрестка (пересечение улиц Народного Ополчения и Маршала Малиновского), поверните налево и идите вдоль жилых домов до Маршала Малиновского 6, корп. 1.
Ближайшие районы и станции метро, обслуживаемые стоматологией на м. «Октябрьское поле» - м. «Щукинская», «Полежаевская», «Тушинская», «Беговая». Клиника «Все свои!» в Щукино – это надежная взрослая и детская стоматология.
Лицензия клиники на Октябрьском поле
Сведения о юридическом лице клиники на Октябрьском поле
Правила предоставления медицинских услуг в клинике Октябрьское поле
Правила поведения в медицинской организации Октябрьское поле
Договор оказания стоматологических услуг
Сведения о территориальной программе 2023-2025 гг. (Москва)
Правила предоставления платных медицинских услуг
Сроки оказания ортопедических услуг
Cписок врачей Октябрьское поле
График работы врачей Октябрьского поля
Стоматологи в филиале на улице маршала Малиновского провели уже сотни сложных имплантаций, удалений зубов мудрости и избавили тысячи людей от кариеса.
-
Первичный осмотр стоматолога
Бесплатно!
-
Бонусная карта
30%
-
Скидка на гигиену полости рта
6 330 р. / 12 320 р.
-
Семейная скидка в клинике «Все свои!»
до 25%
-
Скидка по социальной карте
3%
Прием ведут терапевты, имплантологи, ортопеды, есть кабинет детской стоматологии. Приходите всей семьей, профессиональная помощь и деликатное обслуживание гарантированы.
Настоящие отзывы пациентов клиники «Все свои!» позволяют нам совершенствоваться в практике, улучшать качество услуг, учитывать недостатки и исправлять их. Благодарим за обратную связь.
-
Первичный осмотр стоматолога
Бесплатно!
-
Бонусная карта
30%
-
Скидка на гигиену полости рта
6 330 р. / 12 320 р.
-
Семейная скидка в клинике «Все свои!»
до 25%
-
Скидка по социальной карте
3%
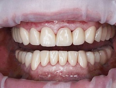
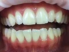
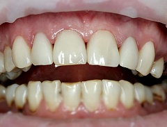
Хороший стоматолог, приятное отношение, приемлемые цены – все это вы найдете в клинике «Все свои!». Посмотрите на фото, как работают наши специалисты.
-
Первичный осмотр стоматолога
Бесплатно!
-
Бонусная карта
30%
-
Скидка на гигиену полости рта
6 330 р. / 12 320 р.
-
Семейная скидка в клинике «Все свои!»
до 25%
-
Скидка по социальной карте
3%
Результаты отбеливания зубов Zoom White Speed, примеры реставрации и восстановления фронтальных зубов. Видео и фотоматериалы представлены для того, чтобы вы могли сами увидеть, как проходит лечение в нашей стоматологии.




















