Стоматология «Все свои!» на Войковской
Клиника «Все свои!» рядом с метро Войковская – это недорогая стоматология для детей и взрослых. У нас созданы все условия, чтобы маленькие пациенты чувствовали себя комфортно – имеется игровая комната, в кабинете детского стоматолога яркие плакаты с советами по уходу за полостью рта.
С 1 октября 2024 клиника переехала из дома 21 на новый адрес: Ленинградское шоссе, дом 9, корпус 1.
В данном филиале принимаются пациенты с 5 лет.
-
Первичный осмотр стоматолога
Бесплатно!
-
Бонусная карта
30%
-
Скидка на гигиену полости рта
6 330 р. / 12 320 р.
-
Семейная скидка
до 25%
-
Скидка по социальной карте
3%
В стоматологии «Все свои!» на Ленинградском шоссе первичный осмотр врача-стоматолога и составление плана лечения проводятся бесплатно. Для постановки точного диагноза в арсенале специалистов интраоральная камера, рентгенограф, ортопантомограф. Оплата услуг – как наличными, так и банковской картой.
Наши врачи
Отзывы пациентов
Ленинградское шоссе, дом 9, корп. 1
Стоматология «Все свои!» на Войковской расположена в 2 минутах от метро. Последний вагон из центра, выход № 4, через 100 метров будет наша клиника.
Стоматология «Все свои!» расположена в 12 минутах ходьбы от станции МЦК «Балтийская», выход № 1. Поднимаетесь на верх по эскалатору, после турникета поверните налево. Перейдите через дорогу и пройдите под мостом, снова перейдите дорогу и поверните налево, идите вдоль дороги прямо 950 метров.
Ближайшие районы и станции метро, обслуживаемые стоматологией на м. «Войковская» - м. «Динамо», «Аэропорт», «Октябрьское Поле», «Войковская», «Водный Стадион» и др.
Лицензия клиники на Войковской
Сведения о юридическом лице клиники на Войковской
Правила предоставления медицинских услуг в клинике Войковская
Правила поведения в медицинской организации Войковская
Договор оказания стоматологических услуг.doc
Сведения о территориальной программе 2026-2028 гг. (Москва)
Правила предоставления платных медицинских услуг
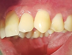
Клиника на Ленинградском шоссе предлагает услуги стоматологов с навыками, отточенными годами — терапевтов, пародонтологов, ортопедов. На фото работ наших докторов вы сможете найти успешное лечение кариеса любой сложности, депульпирование и хорошо запломбированные каналы.
-
Первичный осмотр стоматолога
Бесплатно!
-
Бонусная карта
30%
-
Скидка на гигиену полости рта
6 330 р. / 12 320 р.
-
Семейная скидка
до 25%
-
Скидка по социальной карте
3%
Здесь вы можете заказать изготовление любых съемных и несъемных протезных систем, и можете быть уверенными, что они будут сделаны на совесть. Для самых маленьких пациентов работает детский кабинет.
Мы внимательно изучаем каждый отзыв, который оставили на сайте наши пациенты. Благодарим как за положительные отклики, так и за порицания, это помогает нам совершенствоваться в работе.
-
Первичный осмотр стоматолога
Бесплатно!
-
Бонусная карта
30%
-
Скидка на гигиену полости рта
6 330 р. / 12 320 р.
-
Семейная скидка
до 25%
-
Скидка по социальной карте
3%
В разделе «Фото и Видео» клиники «Все свои!» на Ленинградском шоссе вы можете посмотреть примеры работ наших стоматологов, фото до и после отбеливания зубов различными методиками.
-
Первичный осмотр стоматолога
Бесплатно!
-
Бонусная карта
30%
-
Скидка на гигиену полости рта
6 330 р. / 12 320 р.
-
Семейная скидка
до 25%
-
Скидка по социальной карте
3%
Такие наглядные материалы помогут получить представление о том, какая атмосфера царит в наших кабинетах, увидеть пациентов, которые уже прошли лечение. Посмотрите на видео, как проходит первичный прием: на экране врач показывает пациентке проблемные участки на зубах, после проводится рентгенография и составляет план лечения. Для самых маленьких клиентов у нас есть детская комната, дети приходят лечить зубы с удовольствием!
























