Отзывы пациентов
Расчёт стоимости лечения
           
Отправление
               
Заявка отправлена
          

Нажимая на кнопку «Отправить», вы даете согласие на обработку персональных данных и соглашаетесь с политикой конфиденциальности.

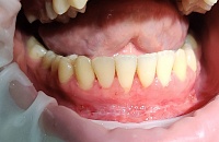
Пришеечный кариес


Пришеечный кариес зуба (также его называют цервикальным) — это кариес, локализующийся вблизи шейки зуба на границе с десной. Чаще всего он развивается в области дальних жевательных зубов, так как там скапливается больше всего налета. Однако большое количество пациентов обращается к стоматологам с пришеечным кариесом передних зубов, так как его легче заметить при самостоятельном осмотре.

По статистике, наиболее подвержены этой стоматологической проблеме пациенты старше 30 лет, однако она может развиться и у детей, в том числе на молочных зубах.

Цены

услуга
Акция!*
Стоимость
Винир композитный
19 960 р.
Светоотверждаемая пломба Эстелайт Сигма Квик (Estelite Sigma Quick) (Япония)
9 680 р.
Художественная реставрация фронтального зуба
19 960 р.
Процедура противопоказана в период ОРВИ, а также беременным женщинам.

Пришеечный кариес: причины возникновения

Среди основных факторов, являющихся предпосылками к данному виду заболевания, можно назвать:

  1. Пренебрежение правилами гигиены полости рта или неправильная техника очищения зубов особенно в придесневой области.
  2. Неправильное питание (с большим процентом продуктов, содержащих легко ферментированные углеводы).
  3. Ношение брекет-систем, т. к. в этом случае затрудняется очищение зубов под брекетами, что приводит к деминерализации эмали именно в пришеечной области.

Кроме того, нередко данное заболевание является осложнением более тяжелых недугов: гипоплазии эмали зубов или даже сахарного диабета. Особенно высока вероятность таких нарушений, если пришеечный кариес одновременно поражает сразу несколько зубов.

Стадии пришеечного кариеса

Как и другие виды кариеса, пришеечный в своем развитии проходит следующие стадии:

  • поверхностная (заметен участок с измененным цветом эмали);
  • средняя (на поверхности зуба визуализируется кариозная полость средней глубины, выполненная размягченным пигментированным дентином);
  • глубокая (в пришеечной области видна глубокая кариозная полость часто заполненная остатками пищи и уходящая под десну на корень зуба).

На месте перехода коронковой области в корень зуба эмаль тонка и слабо минерализована. Вот почему из-за неправильного проведения гигиенических процедур, а также при нерациональном питании эта часть постепенно истирается. В результате кариесогенные механизмы очень быстро приводят к развитию пришеечного кариеса и его активному распространению до пульпы.

Кариес пришеечной области характеризуется тем, что зачастую бывает весьма проблематично верно определить, на какой стадии разрушения находятся дентин и эмаль.

Симптомы пришеечного кариеса

Поражение пришеечной области зуба может давать о себе знать уже на начальных стадиях. Нередко пациент испытывает следующие симптомы:

  • несильные боли;
  • дискомфорт;
  • ощущение оскомины.

Конечно же, при визуальном наблюдении заметны и пятна на эмали, к которым не стоит относиться без внимания. Когда кариес становится поверхностным, пациент жалуется на боль при воздействии температурных или химических раздражителей. При осмотре специалист с помощью зонда выявляет в центре пятна зону шероховатости.

Если поражение достигло средней или глубокой стадии, наблюдаются болевые симптомы при воздействии любого раздражителя, даже при вдыхании прохладного воздуха или жевании, а зубы приобретают вид разъеденных у десен.

Чем опасен данный вид кариеса

Пришеечный кариес считается одним из наиболее опасных. Это объясняется, в первую очередь, тем, что очень часто при отсутствии своевременной медицинской помощи он вызывает осложнения: периодонтиты, гингивиты, пульпиты, флюсы и абсцессы.

В тяжелых случаях воспалительный процесс распространяется на мягкие ткани головы и шеи, что представляет угрозу для жизни и требует госпитализации пациента. Вот почему не стоит медлить с визитом в клинику еще на стадии пятна, даже при отсутствии болевых симптомов.

Как предотвратить развитие заболевания

В качестве профилактических мер специалисты рекомендуют уменьшение в рационе количества простых углеводов, а также регулярную гигиену полости рта и диагностические визиты к стоматологу 1-2 раза в год.

Работы наших врачей

Вопросы клиентов

Максим, 20 лет

Доброе утро, хотелось бы получить консультацию, верхние передние 6-8 зубов в очень плачевном состоянии, предаоложительно пришеечный кариес, передние верхние 6 зубов раскололись по краям, у десны большие ямки кариеса, крошатся в геометрической прогрессии, начинаю ощущать острые боли и повысилась чувствительность на хорлодное и горячее.

Ответ:

Доброе утро, Максим! Кариес в пришеечный области фронтальных зубов всегда вызывает нарушении эстетики, а так же болевые ощущения, повышенную чувствительность. Если вы ощущаете острые боли, то необходимо прийти на консультацию, провести диагностику зубов (анамнез, рентгенологическое исследование), для того чтобы исключить осложнения кариеса (пульпит-воспаления нерва зуба). После постановки диагноза вам составят план лечения. Если это кариес, то вам проведут лечение кариеса, поставят пломбу. Прошу заметить, что после лечения пришеечного кариеса, возможно, останутся неприятные ощущения несколько дней, которые вскоре пройдут.

Записаться на прием : +7 495788-58-08 Заказать обратный звонок